Лечение
Принципиально важно определить тактику ведения пациента — должен ли он быть госпитализирован или возможно проведение лечения в амбулаторных условиях. Для этих целей можно использовать шкалу CURB-65/CRB-65, предполагающую оценку ряда показателей (наличие — 1 балл, отсутствие — 0):. C — нарушение сознания
C — нарушение сознания
U — азот мочевины крови более 7 ммоль/л (не учитывается в CRB-65)
R — ЧДД ≥ 30 в мин.
B — систолическое АД < 90 мм рт ст или диастолическое АД < 60 мм рт. ст.
65 — возраст 65 лет и старше
Расшифровка:
0 баллов — пациент относится к I группе (летальность 1,2 %) и ведется амбулаторно.
1–2 балла соответствуют группе II (летальность 8,15 %), пациенты этой группы подлежат госпитализации с наблюдением и динамической оценкой состояния.
3 балла и выше — пациенты подлежат неотложной госпитализации, летальность в этой группе может достигать 31 %.
Что такое Респираторная микоплазменная инфекция у детей –
Микоплазмепная инфекция у детей — острое инфекционное заболевание, которому подвержены человек и животные и которое вызывается микоплазмами (грамотрицательные бактерии). Это микроорганизмы, которые находятся между вирусами и бактериями в классификации по культуральным свойствам.
Больной человек или здоровый носитель микоплазм распространяют инфекцию воздушно-капельным путем. Микоплазмы нестойки, потому путь передачи инфекции через вещи и игрушки практически исключен.
С октября по февраль регистрируется самое большое количество заболеваний микоплазменной инфекцией. Распространению вирусов способствует погода, преобладающая в холодное время года.
Летом также возможны эпидемические вспышки в детсадах, школах или детских лагерях. Инфекция М. pneumonia особенно активна в новых коллективах, потому за первые 3-4 месяца инфекцией заражается примерно половина детей. Особенно инфекции подвержены дети после 10 лет.
Дифференциальный диагноз
Острую пневмонию необходимо дифференцировать от целого ряда схожих болезней.
- Наиболее точный критерий, позволяющий дифференцировать пневмонию от бронхитов и бронхиолитов – рентгенограмма, с наличием на ней очаговых или инфильтративных изменений;
- при ларинготрахеите – отсутствуют хрипы и одышка, кашель сухой лающий, анализ крови и рентгенограмма – в норме, и наиболее характерное отличие – афония (потеря голоса);
- наиболее точная дифференцировка при туберкулезе – реакция Манту;
- мусковисцидоз отличает постепенное начало болезни, нормальная температура тела и высокий уровень хлоридов пота;
- при наличии инородного тела в бронхах интоксикация отсутствует, температура нормальная, окончательную дифференцировку делают по анамнезу и результатам бронхоскопии;
- сердечная недостаточность отличается постепенным началом, отсутствием интоксикации и повышения температуры, анализ крови показывает анемию или полицитемию, необходимо сделать ЭКГ;
- коклюш дифференцируют по анализу крови на специфические антитела;
- корь отличают по сухому кашлю, нормальному анализу крови и наличию блефароспазма.
При появлении первых признаком, характерных для пневмонии, сразу же обращайтесь к врачу педиатру. Только он сможет назначить своевременное и рациональное лечение.
Какая бывает пневмония: классификация
По локализации:
- односторонняя (пострадало одно легкое);
- двухсторонняя (воспалены оба легких).
По происхождению пневмония делится на три вида.
- Грибковая (до 5% случаев) – самая редкая разновидность недуга и самая опасная. В детском возрасте она чаще всего возникает на фоне неправильного и/или бесконтрольного приема антибиотиков.
- Бактериальная (около 35% случаев) – возникает либо обособленно, либо как осложнение респираторного заболевания. Требует немедленного обращения к врачу для лечения антибиотиками.
- Вирусная (около 60% пациентов) – легкая форма болезни, которая у детей проходит самостоятельно примерно за неделю, вылечиваясь силами организма.
Лабораторно-инструментальная диагностика
Лейкопения ниже 3х109/л или лейкоцитоз выше 25х109/л считается неблагоприятным прогностическим признаком септических осложнений.
В анализе крови пациента возможны следующие изменения:
- Лейкоцитоз или лейкопения
- Нейтрофильный сдвиг лейкоцитарной формулы
- Повышение СОЭ
- Повышение острофазовых реактантов (СРБ, фибриноген, прокальцитониновый тест). Прочие изменения в биохимическом анализе крови могут свидетельствовать о декомпенсации со стороны других органов и систем
Определение газов артериальной крови/пульсоксиметрия проводится пациентам с признаками дыхательной недостаточности, массивным выпотом, развитием ВП на фоне хронической обструктивной болезни легких (ХОБЛ). Снижение PaO2 ниже 60 мм рт. ст. является неблагоприятным прогностическим признаком и указывает на необходимость помещения пациента в отделение интенсивной терапии (ОИТ).
Проводят бактериоскопию мокроты пациента для выявления возбудителя, посев мокроты на питательные среды с определением чувствительности к антибиотикам. Для тяжелых пациентов рекомендован забор венозной крови для посева гемокультур (2 образца крови из 2 разных вен, объем образцов — не менее 10 мл), ПЦР-исследование, серологическая диагностика для выявления респираторных вирусов, атипичных возбудителей бактериальной пневмонии.
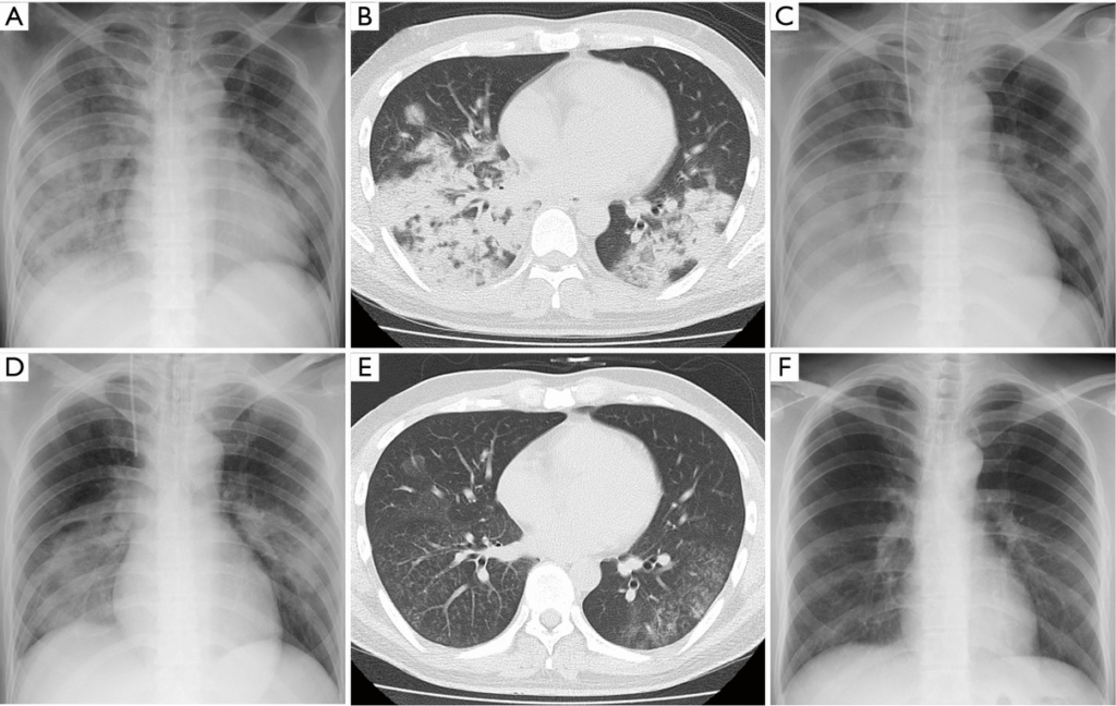
При рентгенологическом исследовании легких обычно выявляют очагово-инфильтративные изменения и плевральный выпот. КТ органов грудной клетки может быть целесообразной альтернативой рентгенографии в ряде ситуаций:
- При наличии очевидной клинической симптоматики пневомнии и отсутствии изменений на рентгенограмме
- В случаях, когда при обследовании больного с предполагаемой пневмонией выявлены нетипичные изменения (обтурационный ателектаз, инфаркт легкого при ТЭЛА, абсцесс легкого и пр.)
- Рецидивирующая пневмония, при которой инфильтративные изменения возникают в одной и той же доле (сегменте), или затяжная пневмония, при которой длительность существования инфильтративных изменений в легочной ткани превышает 4 недели
Фиброоптическую бронхоскопию с количественной оценкой микробной обсемененности полученного материала или другую инвазивную диагностику (транстрахеальная аспирация, трансторакальная биопсия) проводят при подозрении на туберкулез легких при отсутствии продуктивного кашля, а также при обструкции бронха бронхогенной карциномой или инородным телом
Если у пациента имеется плевральный выпот и есть условия для безопасного проведения плевральной пункции, необходимо проводить исследование плевральной жидкости: подсчет лейкоцитов с лейкоцитарной формулой; определение рН, активности лактатдегидрогеназы, содержания белка; окрашивание мазков по Граму; посев с целью выявления аэробов, анаэробов и микобактерий.
Лечение
План лечения строится на основе типа заболевания и в основном направлен на борьбу с патогеном, который его вызвал. Так как атипичная пневмония может быть вызвана как бактериями так и вирусами, лечение антибиотиками поможет далеко не в каждом случае.
Обычно применяют средства снимающие симптомы заболевания. Это позволяет организму более эффективно бороться с причиной пневмонии путем выработки антител.
Для борьбы с симптомами могут назначить:
- Жаропонижающие препараты;
- Обезболивающие;
- Лекарства от кашля.
Важно: Так как кашель способствует выводу жидкости из легких, то не целесообразно избавляться от него полностью. Необходимо добиться эффекта, при котором кашель не будет вызывать сильного дискомфорта
При сильном поражении легочных тканей, пациент может не получать достаточного количества кислорода для поддержания жизни. В таких случаях применяется аппаратная поддержка дыхания вплоть до ИВЛ (искусственной вентиляции легких).
Работа аппарата ИВЛ основана на управляемом нагнетании в легкие насыщенного кислородом воздуха.
Классификация
Предусмотрена классификация патологии по разнообразным признакам:
- локализации;
- причине возникновения болезни;
- механизму развития (патогенезу);
- объёму тканей, которые оказались вовлечены в патологический процесс.
По причине возникновения болезни выделяют разные виды пневмонии:
- типичную;
- аспирационную;
- болезнь, возникшую на фоне ослабления иммунитета.
Типичная пневмония возникает у пациентов без выраженных нарушений иммунитета. Она может быть:
- грибковой;
- вирусной;
- бактериальной;
- паразитарной;
- микобактериальной. Микобактерии способны, подобно грибкам, образовывать мицелий на одной из стадий своего развития.
Пневмония, возникающая на фоне снижения иммунитета, диагностируется у больных СПИДОМ, пациентов, страдающих другими заболеваниями. Аспирационный тип болезни выступает следствием проникновения (пассивное попадание или вдыхание) чужеродного агента в лёгкие.
По механизму развития выделяют пневмонию:
- первичную. Она возникает в качестве самостоятельной патологии;
- вторичную. Подобная пневмония является следствием других болезней;
- посттравматическую. Воспалительный процесс возникает из-за задержки мокроты. Посттравматическая пневмония чаще всего обусловлена травмами грудной клетки;
- радиационную. Она возникает после лучевого лучения онкологических болезней.
По локализации различают пневмонию:
- двустороннюю;
- одностороннюю.
По вовлечённости тканей следует выделить пневмонию:
- тотальную, приводящую к полному поражению лёгких;
- очаговую. При таком виде пневмонии формируется очаг инфекции небольшого объёма. Пример данной патологии – бронхопневмония. Она затрагивает бронхи, респираторные отделы;
- сливную (предусматривающую образование нескольких патологических очагов);
- сегментарную. В таком случае оказываются поражены один или несколько сегментов лёгкого;
- долевую. Она сопровождается поражение болей лёгкого. Наиболее распространённая её разновидность – крупозная пневмония. При наличии этого заболевания наблюдается распространение патологического процесса на альвеолы, частичное поражение плевры.
Пневмония без температуры представляет собой особую опасность. Она предусматривает бессимптомное течение. Организм не сигнализирует о наличии болезни даже кашлем. Бессимптомная терапия зачастую является следствием слабого иммунного ответа.
Крупозная пневмония характеризуется острым началом с повышением температуры тела (более 39°С),одышкой, болями в районе грудной клетки, слабостью. Пациента беспокоит кашель. Сначала он непродуктивный, сухой. Затем на 3-4 день после начала болезни возникает кашель с «ржавой» мокротой. У больного постоянно держится высокая температура тела. Отличительные черты этой формы пневмонии – кашель, лихорадка, отхождение мокроты. Подобные симптомы сохраняются на срок до 10 дней.
При тяжёлом течении крупозной пневмонии наблюдается цианоз носогубного треугольника, возникает гиперемия кожных покровов. В области щёк, губ, крыльев носа, подбородка появляются герпетические высыпания. Состояние пациента длительное время остаётся тяжёлым. Его дыхание учащённое, поверхностное. Пульс больного зачастую аритмичный, частый. Сердечные тона глухие, артериальное давление остаётся сниженным.
Очаговой пневмонии свойственно малозаметное, постепенное начало. Болезнь нередко развивается после недавно перенесённого острого трахеобронхита, острой респираторно-вирусной инфекции. Очаговая пневмония симптомы предусматривает разнообразные. Температура тела держится на отметке 38-38,5°С. Кашель при очаговой пневмонии сопровождается отхождением слизисто-гнойной мокроты, отмечаются слабость, потливость. При дыхании возникают болевые ощущения в грудной клетке при кашле, на вдохе.
При очаговой сливной пневмонии состояние больного стремительно ухудшается. Возникают такие симптомы, как цианоз, выраженная одышка.
Клинические рекомендации по лечению
Разберёмся, чем лечить воспаление лёгких, вызванное микоплазмой. Для того чтобы эти патогенные микроорганизмы погибли, необходимо назначение пациентам антибактериальных средств.
Чем лечить
Согласно данным клинических рекомендаций, микоплазменная пневмония требует использования противомикробных препаратов одной из следующих групп:
- макролиды, например азитромицин;
- фторхинолоны (ципрофлоксацин, офлоксацин);
- тетрациклины, в частности доксициклин.
Также для лечения симптомов у взрослых с микоплазменным воспалением лёгких применяются такие лекарственные средства, как:
- бронходилататоры, которые снимают спазм бронхов;
- отхаркивающие препараты;
- анальгетики и жаропонижающие;
- иммуномодуляторы.
Кроме того, применяются немедикаментозные методы терапии: обеспечение больному обильного питья и назначение диетического питания.
Пациенты с лёгким течением инфекции могут проходить лечение амбулаторно. В режиме стационара терапию получают больные с выраженным респираторным синдромом. При наличии лихорадки обязателен постельный режим с регулярным проветриванием палаты.
Сколько лечится
Для того чтобы победить инфекцию и устранить симптомы микоплазменной пневмонии у взрослых, лечение должно продолжаться как минимум 14 дней. При необходимости антибиотикотерапия продлевается на срок до 3 недель.
Клиническая картина
Симптомы лямблиоза напоминают клинику других заболеваний.
Инкубационный период продолжается от 1 до 3 недель. Чаще заболевание протекает бессимптомно. Но даже если имеются клинические проявления, то трудность диагностики состоит в том, что симптомы лямблиоза неспецифичны. То есть по клиническим проявлениям поставить диагноз невозможно. Заболевание маскируется под другими патологическими состояниями.
Основные группы симптомов лямблиоза
Симптомы можно разделить на несколько групп:

- синдром интоксикации: слабость, вялость, утомляемость, нарушение аппетита, нарушение сна, незначительное повышение температуры, головная боль, недомогание, раздражительность, плаксивость;
- желудочно-кишечный синдром: вздутие живота, метеоризм, тошнота, периодически возникающая диарея, боли в животе, снижение аппетита, рвота, в запущенных ситуациях – увеличение печени;
- синдром кожных проявлений: аллергические высыпания, сопровождающиеся зудом. Сухость кожного покрова, покраснение ладошек и стоп. Атопические проявления могут проявляться приступами бронхиальной астмы. В общем анализе крови – повышение числа эозинофилов.

Типичные проявления
При осмотре часто можно наблюдать обложенность языка, вздутие живота, болезненность в точках проекции жёлчного пузыря, иногда увеличение печени, поражение красной каймы губ (заеды, шелушения, трещины губ). Нередко отмечается замедленный рост волос, их истончение, выпадение. Жалобы сохраняются 7 – 10 дней. Существует мнение, что после перенесённого заболевания развивается иммунитет, и повторно заразиться уже невозможно. Но данное убеждение является не совсем верным. Всё-таки лямблиоз может проявиться у ребёнка после пройденного лечения, но риск повторного инфицирования существенно снижается.
Острая форма лямблиоза
Острая форма лямблиоза чаще встречается у детей раннего возраста, описаны случаи заражения 2 – 3 месячных младенцев. Чаще инфицирование грудных детей происходит от родителей, старших братьев или сестёр. У ребёнка появляется незначительное повышение температуры, снижение аппетита, недостаточный набор веса, плаксивость, необоснованные капризы. Частота акта дефекации увеличивается до 10 раз в сутки. Стул также меняется. Он становится водянистым и пенистым, а затем наблюдается большое содержание жира и зловонный запах. Такое состояние часто наводит на мысль присоединения кишечной инфекции. Боль в животе носит схваткообразный характер, доставляя значительный дискомфорт ребёнку. Но данная ситуация также отводит мысли родителей от первоначальной причины, склоняя их к физиологическим коликам. У большинства детей появляется аллергическая мелкоточечная или мелкопятнистая сыпь, иногда сопровождается зудом и исчезает через 3 – 5 суток.

Хроническая форма лямблиоза
Несбалансированное питание, преобладание в диете быстро усваивающихся углеводов и сахаров, снижение защитных сил организма – условия, улучшающие размножение лямблий и способствующие переходу в хроническую форму заболевания. Для такой формы характерны симптомы:
- изменения со стороны желудочно-кишечного тракта: диарея, которая периодически сменяется запорами, постоянные боли в животе, тошнота, рвота. Хроническая форма лямблиоза нередко приводит к синдрому мальабсорбции – патологический процесс, характеризующийся нарушением переваривания, всасывания питательных веществ в тонком кишечнике. Данный синдром включает вышеперечисленные симптомы со стороны желудочно-кишечного тракта, а также анемию, гиповитаминоз, нарушение электролитного обмена, в результате недостаточного усвоения питательных веществ;
- изменения со стороны общего состояния: снижение настроения, раздражительность, похудание, отставание в физическом и нервно-психическом развитии;

изменения со стороны кожного покрова: помимо аллергических высыпаний могет наблюдаться почесуха – кожное заболевание, которое сопровождается сильным зудом и появлением узелков. На коже ребёнка нередко визуализируются расчёсы, а это нарушение целостности кожного покрова является входными воротами для присоединения вторичной бактериальной инфекции.
Диагностика микоплазменной пневмонии
При прослушивании органов дыхания врач может услышать неярко выраженные сухие и влажные хрипы. Но в 20 % случаев признаки воспаления лёгких не выслушиваются.

Даже при проведении рентгенографии органов грудной клетки нельзя выявить симптомы, характерные именно для микоплазменного воспаления лёгочной ткани. Врач увидит лишь усиление лёгочного рисунка и признаки воспаления, к которым могут привести любые другие инфекции.
Поэтому для диагностики необходимо прибегнуть к лабораторным методам выявления возбудителя заболевания.
Какие анализы нужно сдать, чтобы выявить микоплазму?
Иммуноферментный анализ
На сегодняшний день наличие данного типа инфекций можно обнаружить благодаря современным методам, основанным на иммунологических процессах. При нормальном иммунитете ребёнка попадание болезнетворных микробов, в данном случае микоплазмы пневмонии, в организм провоцирует выработку антител против них.
Другое название антител – иммуноглобулины (Ig). Всего их существует 5 классов. Но наиболее значимыми являются – A, M, G.
Иммуноглобулины класса A появляются в крови со 2-го недели заболевания и уходят в конце 8-ой недели. Если находятся позже, это говорит о хронизации процесса.
Главный показатель острой фазы болезни – это IgM. В крови обнаруживается уже в первую неделю недомогания и достигает своих высоких значений в течение 3-й недели. Присутствие IgM у ребёнка, больного пневмонией, свидетельствует о текущем или только что перенесённом микоплазмозе.
Антитела IgG начинают появляться через 4 недели от начала заболевания и могут определяться месяц, год, а то и всю жизнь. Их наличие говорит о когда-то перенесённой инфекции.
Вышеуказанный способ определения в крови больных людей специфических антител к микоплазмам называется иммуноферментным анализом (ИФА). Проводится он двукратно:
- в первую неделю заболевания;
- через 2 недели после первого анализа.
Так же этим методом можно обнаружить сами антигены микоплазмы пневмонии. Наиболее достоверный результат можно получить в течение 7 дней от начала болезни.
Полимеразная цепная реакция
В последние годы в лабораторной диагностике микоплазменных пневмоний отмечается распространение метода полимеразной цепной реакции (ПЦР). Для проведения анализа используется мокрота больного пневмонией человека. Метод позволяет выявить ДНК микоплазмы пневмонии.

Общий анализ крови
Использование высокочувствительных методов не исключает проведение стандартного общего анализа крови.
Для микоплазменной пневмонии будет характерно:
- нормальное количество лейкоцитов. В 10 % случаев возможен умеренный лейкоцитоз или лейкопения;
- повышение уровня лимфоцитов;
- отсутствие сдвигов лейкоформулы влево;
- повышение скорости оседания эритроцитов (СОЭ);
- при длительном течении заболевания возможно развитие анемии и тромбоцитоза.
ИФА и ПЦР являются единственным способом определения того, что ребёнок был болен микоплазменной пневмонией. Но, к сожалению, эти методы не могут служить для быстрой диагностики болезни. Так как проведение исследования занимает не менее 1 недели.
Современная классификация внебольничных пневмоний:
По патогенезу:
a. Первичная — пневмония, развившаяся как самостоятельное заболевание
b. Вторичная — пневмония, развившаяся на фоне другого заболевания, например гриппа
По локализации:
a. Односторонняя (левосторонняя и правосторонняя пневмония)
b. Двусторонняя
По объему вовлеченных в воспаление тканей выделяют следующие виды пневмонии легких у взрослых и детей:
a. Очаговая — очаг воспаления небольшой (бронхопневмония — с поражением бронхов и респираторных отделов)
b. Сегментарная — с вовлечением одного или нескольких сегментов легкого
c. Долевая — с поражением доли легкого (крупозная пневмония — с поражением альвеол и части плевры)
d. Сливная — при слиянии очагов в более крупные
e. Тотальная — поражение всего легкого
В зависимости от этиологии и особенностей пациента:
a. Типичная (у пациентов в отсутствие выраженных нарушений иммунитета):
- Бактериальная
- Вирусная пневмония
- Грибковая
- Микобактериальная
- Паразитарная
b. У пациентов с выраженным нарушением иммунитета:
- У пациентов с синдромом приобретенного иммунодефицита
- У пациентов с прочими заболеваниями и патологическими состояниями
c. Аспирационная пневмония/абсцесс легкого/воспаление легких (одного легкого)
Лечение микоплазмоза при беременности
Во время беременности микоплазм выявляют в два раза чаще, чем обычно. Гинекологи считают, что это связано с резкими изменениями в гормональном фоне и иммунной системе. Микоплазмы опасны для процесса вынашивания плода и приводят к его замиранию и преждевременным родам.
Специалисты до настоящего времени ведут споры о целесообразности лечения микоплазмоза у беременных. Как именно поступить должен решать ваш лечащий гинеколог.
Микоплазмы обладают некоторыми особенностями строения клеток: они не имеют клеточной стенки, поэтому они очень чувствительны к ингибиторам (подавителям) синтеза белков — без этого процесса микроорганизм не может жить и размножаться. Но антибиотики ряда тетрациклинов противопоказаны при беременности. Потому лечение состоит изт 10-дневного курса Азитромицина, Эритромицина (чаще всего), Ровамицина или Клиндамицина.
Параллельно с ними назначаются витамины, пробиотики и иммуномодуляторы. Терапию проводят, начиная со второго триместра беременности.
Диагностика микоплазменной инфекции
Диагноз микоплазменной инфекции ставится на основании клинической картины, эпидемиологической обстановки
и данных лабораторных методов исследования. Групповая вспышка пневмонии среди детей в замкнутом коллективе всегда должна натолкнуть врачей на мысль о возможности микоплазменной инфекции.
Так как клиническая картина не имеет специфических и характерных только для микоплазменной инфекции проявлений,
диагноз ставится на основании лабораторных исследований. Используют методы обнаружения самого возбудителя в
смывах с ротоглотки или обнаружения антител в парных сыворотках крови, которые берут с промежутком в 2 недели.
При наличии микоплазмоза концентрация специфических антител во второй сыворотке больше, чем в первой.
Отличить клиническую картину микоплазменной пневмонии от другой бактериальной пневмонии бывает трудно.
От сутствие эффекта от пенициллинотерапии, изнурительный кашель и отсутствие или скудность данных
при выслушивании являются типичными признаками микоплазменной пневмонии.
Чем вызвана атипичная пневмония
На сегодняшний день, респираторные “атипичные” патогены представляют собой широкую группу организмов, в которую входят:
- Возбудитель Q-лихорадки – Coxiella burnetti;
- Возбудитель туляремии – Francisella tularensis;
- Возбудитель лептоспироза – Leptospira spp;
- Вирус Эпштейна–Барр.
Из-за большого количества атипичных возбудителей, в современной медицинской литературе под “атипичными” подразумевают только четыре наиболее распространенных вида патогенов:
- Микоплазменная пневмония – Mycoplasma pneumoniae;
- Хламидийная пневмония – Chlamydia pneumoniae;
- Легионеллезная пневмония или болезнь легионеров – Legionella pneumophila;
- Тяжелый острый респираторный синдром (ТОРС) – SARS-CoV.
Важно: Классификация атипичных пневмоний носит условный характер. Поэтому, многие медицинские источники могут подразумевать под атипичной пневмонией только ТОРС, из-за ее наибольшей опасности для здоровья человека
Этиология
Причиной микоплазменной пневмонии является микроорганизм под названием Mycoplasma pneumoniae. Он относится к группе так называемых «атипичных» возбудителей. В этом списке также находятся хламидия пневмония и легионеллы. Следственно, пневмония, вызванная этими микроорганизмами, будет «атипичной». Такое определение болезнь получила не только из-за своеобразности возбудителя, но и по причине нетипичной для большинства пневмоний клинической картины.
Отличительной особенностью, микоплазмы пневмонии, является то, что она занимает промежуточное положение между вирусами и бактериями. Данный микроб проникает внутрь клетки организма человека и начинает там паразитировать, что свойственно вирусам. Но уничтожается антибиотиками, как бактериальная инфекция.
Микоплазма пневмониа передаётся от инфицированного человека воздушно – капельным путём. Микроорганизм попадает в органы дыхания и начинает там размножаться, вызывая воспаление, как верхних, так и нижних дыхательных путей. Но самым тяжёлым проявлением является пневмония. Инкубационный период длится примерно 10 – 20 дней.
Микоплазменная пневмония чаще встречается у детей в возрасте от 5 до 14 лет. Поэтому заболеваемость высока среди организованных ребят. Но в некоторых случаях болезнь может возникнуть также у новорождённых. Это обычно происходит при трансплацентарном заражении от больной матери или при прохождении через родовые пути.

Причины (этиология) микоплазмозов
Микоплазмы — бактерии класса Mollicutes; возбудитель респираторного микоплазмоза — микоплазма вида Pneumoniae рода Mycoplasma.

Mycoplasma pneumoniae
Отсутствие клеточной стенки обусловливает ряд свойств микоплазм, в том числе выраженный полиморфизм (округлые, овальные, нитевидные формы) и устойчивость к β-лактамным антибиотикам. Микоплазмы размножаются бинарным делением или вследствие десинхронизации деления клеток и репликации ДНК, удлиняются с образованием нитевидных, мицелоподобных форм, содержащих многократно реплицированный геном и впоследствии разделяющихся на кокковидные (элементарные) тела. Размер генома (наименьший среди прокариот) обусловливает ограниченные возможности биосинтеза и, как следствие, зависимость микоплазм от клетки-хозяина, а также высокие требования к питательным средам для культивирования. Культивирование микоплазм возможно в культуре тканей.
Микоплазмы широко распространены в природе, их выделяют от человека, животных, птиц, насекомых, растений, из почвы и воды.
Для микоплазм характерна тесная связь с мембраной эукариотических клеток. Терминальные структуры микроорганизмов содержат протеины р1 и р30, которые, вероятно, играют роль в подвижности микоплазм и прикреплении их к поверхности клеток макроорганизма. Возможно существование микоплазм внутри клетки, что позволяет им избежать воздействия многих защитных механизмов организма-хозяина. Механизм поражения клеток макроорганизма многогранен (M. pneumoniae, в частности, вырабатывает гемолизин и обладает способностью к гемадсорбции).
Микоплазмы малоустойчивы в окружающей среде. В составе аэрозоля в условиях помещения микоплазмы сохраняют жизнеспособность до 30 мин, гибнут под действием ультрафиолетовых лучей, дезинфицирующих средств, чувствительны к изменению осмотического давления и другим факторам.





































