Видео
Я предлагаю посмотреть вам короткий видеосюжет, в котором хирург объясняет, что такое пилоростеноз, и в чем его отличие от такой схожей с ним болезни, как пилороспазм.
Детские заболевания – одна из самых обширных и богатых на дискуссии и споры тем. Ведь действительно это так, мнения врачей не сошлись не только в вопросе лечения многих заболеваний, но и даже в тонкостях ухода за новорожденным с теми или иными осложнениями. Так, например, у врачей нет даже единого мнения касательного того, можно ли купать ребенка при ветрянке. Все врачи разделились на две группы, как вы сами понимаете, одни утверждают, что можно, а другие – нет. Разумеется, и при более серьезных болезнях обязательно найдется какая-то «точка раздора».
Сегодня мы с вами обсудили такую серьезную болезнь, как пилоростеноз. Как ни странно, но мнение врачей касательно метода лечения – едино, а вот что касается причин появления болезни такого рода, то тут есть несколько спорных вопросов.
Определение понятия и основы анатомии пилорического отдела желудка
Пилоростеноз – это непроходимость пилорического отдела желудка.
Чтобы разобраться в патологии, необходимо знать нормальное строение органа. Желудок имеет бобовидную форму, большую и малую кривизну, условно его можно разделить на несколько отделов:
- кардиальный отдел – это место, где пищевод переходит в желудок, имеет кардиальный жом, который препятствует возвращению пищи из желудка обратно в пищевод;
- дно – куполообразный свод, находящийся в верхней части желудка, несмотря на своё название;
- тело – основная часть желудка, в которой происходит процесс переваривания;
- пилорический отдел (привратник) – зона перехода желудка в двенадцатиперстную кишку, в данном отделе расположен пилорический жом, который при расслаблении пропускает обработанную желудочным соком пищу в двенадцатиперстную кишку, в закрытом состоянии сфинктер препятствует преждевременному переходу непереваренной пищевой массы.
Пилорический отдел имеет воронкообразную форму, он постепенно сужается к низу. Длина его составляет около 4 — 6 см. В привратнике мышечный аппарат более развит, чем в теле желудка, а слизистая оболочка с внутренней стороны имеет продольные складки, образующие пищевую дорожку.
Врождённый пилоростеноз – это непроходимость пилорического отдела желудка за счёт гипертрофии мышечного слоя.

Диагностика
На основании жалоб матери уже можно предположить диагноз пилоростеноза.
В настоящее время можно встретить детей, которых лечили от рвоты и срыгивания консервативно, что стирает яркую клинику пилоростеноза. Встречаются дети с подтверждённым диагнозом, но не имеющие дефицита массы тела и признаков обезвоживания.
При осмотре передней брюшной стенки ребёнка, особенно после кормления, можно увидеть усиленную перистальтику желудка – симптом «песочных часов». Он не всегда явно выражен и чаще встречается на поздних стадиях заболевания.
При пальпации живота определяется плотное подвижное новообразование немного правее пупочного кольца – гипертрофированный привратник. Иногда пилорус находится выше и не доступен пальпации из-за нависающей над ним печени. Также глубокая пальпация живота не всегда доступна из-за беспокойства ребёнка и активного напряжения мышц.
Основным методом дополнительного обследования для постановки диагноза является ультразвуковое исследование органов брюшной полости. Желудок увеличен в размерах, содержит большое количество воздуха и жидкости, стенка его утолщена. Пилорический отдел сомкнут очень плотно, не раскрывается. Толщина стенки привратника достигает 4 мм и более за счёт утолщения мышечного жома, длина пилорического канала достигает 18 мм.

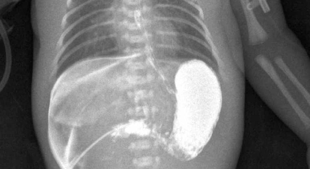
Также дополнительным методом исследования является рентгеконтрастирование – пассаж бария по ЖКТ. Хотя рентгенологическое исследование несёт лучевую нагрузку, оно является информативным и позволяет точно определить проходимость привратника. Ребёнку через рот даётся около 30 мл контрастного вещества (5% взвеси бария в грудном молоке или 5% растворе глюкозы). Обзорная рентгенография брюшной полости выполняется через час и четыре часа, после дачи контраста. При пилоростенозе на снимке будет определяться большой газовый пузырь желудка с одним уровнем жидкости. Эвакуация контраста из желудка в двенадцатиперстную кишку замедлена. После проведения обследования желудок необходимо опорожнить, чтобы при последующей рвоте предотвратить аспирацию бария.
Одним из методов диагностики врождённого пилоростеноза является видеоэзофагогастроскопия (ВЭГДС), но детям этот вид обследования можно провести только под наркозом. При этом, отдел желудка перед привратником расширен, просвет пилорического канала значительно сужен, не проходим для гастроскопа, не раскрывается при раздувании воздухом (что является отличием от пилороспазма). Кроме того, при ВЭГДС можно осмотреть слизистую пищевода и определить степень воспалительных изменений, что очень характерно при рефлюксах.
Данные лабораторных исследований будут отражать метаболический алкалоз, гипокалиемию, гипохлоремию, снижение объёма циркулирующей крови, падение уровня гемоглобина.

С чем можно спутать?

Есть ещё один недуг в области привратника – пилороспазм. Так называется аномальное сокращение привратника на фоне расстройства нервно – мышечной регуляции желудка. Пилоростеноз и пилороспазм имеют сходства, но больше кардинальных различий
Важно не путать два этих заболевания. Таблица поможет их различить
| Пилоростеноз | Пилороспазм |
|---|---|
| Симптомы | |
| Признаки появляются через 2 -3 недели после рождения | Признаки заметны сразу после рождения |
| Рвотные массы по объёму больше, чем ребёнок съел. | Рвотные массы по объёму немного меньше съеденного, около двух столовых ложек. |
| Каловые массы приобретают тёмный цвет, в составе имеется желчь. Склонность к запорам. | Каловые массы не изменяются. Опорожнения кишечника регулярные. |
| Кожа сухая, дряблая, сероватого оттенка. | Кожа чистая, гладкая. |
| Происходит резкое снижение веса. | Незначительно набирает вес. |
| Последствия | |
| Ведёт к летальному исходу | Ведёт к истощению без лечения |
| Лечение | |
| Хирургическая операция | Коррекция режима дня для успокоения нервной системы. Лекарственная терапия дня снятия спазма. Диета для восстановления питания. |
| Прогноз при лечении | |
| Полное выздоровление |
Врачи не перепутают болезни, молодым родителям не надо самим ставить диагноз, лучше обращаться за медицинской помощью. Не только пилороспазм вызывает сильную рвоту. Это может быть диафрагмальная грыжа, гнойный менингит, халазия пищевода, другие заболевания.
Симптомы пилороспазма у новорожденных
Клиническая картина заболевания проявляется с рождения. При отсутствии лечения происходит постепенное нарастание интенсивности симптомов. По мере совершенствования нервной регуляции, развития органов и систем явления пилороспазма уменьшаются, а к полугоду исчезают без остаточных явлений. Грамотное лечение ускоряет процесс выздоровления.
Характерными признаками пилороспазма у новорожденных считаются упорные срыгивания неизмененным или створоженным молоком. Они непостоянные, возникают после кормления. Их появление связано со стрессом в процессе адаптации ребенка к внеутробной жизни, перееданием. Объем рвотных масс не превышает количество съеденного молока при кормлении.
Рвота фонтаном у новорожденных детей возникает реже. Чувство насыщения приходит с запозданием, так как часть пищи эвакуируется наружу: это проявляется беспокойством, плачем и криком, нарушением сна. Из-за малого объема питания отмечается склонность новорожденного ребенка к запорам. Уменьшается частота и объем мочеиспусканий.
Выраженное сокращение мышц привратника препятствует попаданию в кишечник питательных веществ и жидкости, что проявляется уменьшением массы тела, развитием обезвоживания организма. Возникает дефицит минеральных веществ, витаминов. В тяжелых ситуациях наблюдается западение родничка, снижается тургор кожи, тонус мышц, появляются симптомы поражения центральной нервной системы.
Причины
Точные причины пилоростеноза до конца не изучены, считается, что врожденная форма патологии обычно провоцируется такими неблагоприятными факторами при вынашивании плода:
- хронические заболевания органов ЖКТ у матери, период обострения которых приходился на беременность;
- генетическая предрасположенность;
- наличие нарушений со стороны эндокринной системы;
- острый токсикоз, особенно на ранних этапах беременности;
- неконтролируемый прием некоторых лекарственных препаратов будущей мамой;
- перенесенные инфекционные и вирусные заболевания на любом триместре.
Существует множество факторов, которые проявляются в организме беременной в тот период, когда формируются органы пищеварительной системы у плода. В результате соединительная ткань желудка плотная и неэластичная, в результате чего сужается просвет между привратником и двенадцатиперстной кишкой.
Причинами приобретенного детского пилоростеноза могут быть:
- язва, гастрит, другие заболевания органов ЖКТ;
- патологии желчевыводящих путей;
- колиты;
- спаечные процессы;
- химический ожог;
- новообразования на желудке, кишечнике.
Общие сведения
Болезни органов пищеварения у детей занимают второе место (после заболеваний органов системы дыхания). С учетом анатомо-физиологических особенности ребенка дисфункции желудка и кишечника возникают почти у всех детей в раннем возрасте и являются функциональными. Это состояние связывают с адаптацией и созреванием желудочно-кишечного тракта у грудных детей.
Со стороны верхнего отдела пищеварительного тракта у детей часто встречается спазм пилорического отдела желудка. Пилорический отдел — это граница между желудком и двенадцатиперстной кишкой, а пилорическое отверстие сообщает желудок с двенадцатиперстной кишкой. Сфинктер пилорического отверстия (называется привратник) представляет собой развитый мышечный слой. Сфинктер открывается после поступления в желудок пищи, и перистальтическими волнами пищевой комок продвигается в двенадцатиперстную кишку. Закрытие его происходит после поступления пищи в двенадцатиперстную кишку.
Нарушение тонуса сфинктера в виде повышенного тонуса и спазма вызывает затруднения эвакуация пищи из желудка. Пилороспазм у грудных детей относится к функциональным расстройствам и связан с нарушением вегетативной иннервации и особенностями вегетативной нервной системы у данного ребенка.
Мышцы реагируют спазмом на различные воздействия извне — стресс, избыток пищи, дефицит витаминов, никотин. Функциональные нарушения подразумевают наличие симптомов при отсутствии органических изменений. Группу риска по формированию функциональных нарушений ЖКТ в младенческом возрасте составляют недоношенные дети, функционально незрелые, перенесшие родовую травму и внутриутробную гипоксию. Это состояние проходит самостоятельно к 5-6 месяцам в связи с совершенствованием вегетативного отдела нервной системы и желудочно-кишечного тракта. Спазм привратника, зависящий только от влияния нервной системы, нужно отличать от стеноза привратника.
Стеноз привратника желудка или гипертрофический пилоростеноз — это уже заболевание желудочно-кишечного тракта, связанное с гипертрофией (утолщением) мышечной ткани в области пилоруса и ненормальным расположением мышечных волокон, а также избыточным развитием соединительной ткани. Перерождение мышечного слоя развивается на фоне нарушений нейрорегуляторных влияний. Данное состояние самостоятельно не проходит и требует хирургического вмешательства.
У детей имеет место врожденный пилоростеноз, который относится к порокам развития и в 15% случаев является наследственной патологией, поскольку установлен семейный характер заболевания. Кроме того, имеется связь между частотой заболевания и родством родителей.
Доказательством того, что пилоростеноз является дефектом развития, служит сочетание его с другими пороками — атрезия пищевода, диафрагмальная грыжа. Часто пилоростеноз встречается при синдроме Альпера (дегенеративное заболевание коры мозга). Критический период этого порока соответствует началу 2-го месяца эмбриональной жизни.
Пилоростеноз чаще всего проявляется в первые недели жизни младенца иногда позже. Это зависит от степени сужения и компенсаторных способностей желудочно-кишечного тракта. Актуальность ранней диагностики заболевания обусловлена опасностью развития осложнений — нарушение водно-солевого баланса, гипотрофия, сепсис, аспирационная пневмония, остеомиелит, которые являются причиной смерти детей.
Симптомы заболевания у новорожденных
Уже с первых кормлений родители замечают, что ребенок часто срыгивает. Даже если держать малыша вертикально количество срыгиваний не уменьшается, а наоборот растет. Затем появляются рвота и остальные признаки. Самая частая для пилоростеноза у новорожденных симптоматика следующая:
- Рвота через 20-25 минут после кормления. Объем рвотных масс больше объема съеденного молока. Может быть кислый запах.
- Ребенок мало мочится. Цвет выделений насыщенно желтый с резким запахом.
- Стул редкий, маленькими порциями. Цвет кала темный из-за большого количества желчи.
- Малыш быстро теряет вес, становится вялым, капризным.
- Осматривая живот можно заметить характерный признак «песочные часы». Так называют два выпячивания брюшной стенки, между которыми есть тонкая перемычка.
- Родничок начинает западать, кожа становится дряблой, теряет эластичность.
- Ребенок выглядит голодным, черты лица заостряются.
Клиника нарастает постепенно. Один за другим проходят три этапа развития болезни:
- компенсация;
- субкомпенсация;
- декомпенсация.
Компенсация
Пилоростеноз у новорожденных на этой стадии проявляется мало. Младенец может капризничать. Вероятно, его беспокоят тошнота и тяжесть (но пока он не может рассказать об этом). После рвоты ненадолго ему становится легче. Желудок увеличивается в объеме и активно сокращается чтобы «протолкнуть» пищу через суженное отверстие привратника.
Субкомпенсация
Рвота бывает по нескольку раз в день. Ребенок быстро теряет в весе, становится вялым и малоактивным, плохо сосет грудь. Его беспокоят боли в животе (приступообразные, напоминающие колики). Отрыжка имеет тухлый запах. Сокращения стенки желудка становятся заметны при осмотре живота.
Декомпенсация
Рвота «фонтаном». Нарастают симптомы обезвоживания: бледность кожи и снижение ее эластичности; язык сухой; падает артериальное давление. Увеличенный желудок выпирает через брюшную стенку.
https://youtube.com/watch?v=HUs0XhQhfUM
Что делать для профилактики?
От характера течения беременности зависит здоровье появившегося на свет малыша, поэтому очень важно планировать зачатие, готовиться к нему. Профилактические меры, при которых риск пилоростеноза минимален:
Профилактические меры, при которых риск пилоростеноза минимален:
- наличие у будущей мамы прививок от краснухи, гепатита, иных вирусных заболеваний (проконсультирует врач) — поставить вакцины следует за полгода до зачатия;
- регулярные осмотры и сдача анализов во время беременности;
- укрепление иммунитета будущей мамы, прием лекарств строго по назначению врача.
После появления малыша на свет заботливая мама обращает внимание на его самочувствие, отмечает любые отклонения в поведении, плохое настроение, капризы. Симптомы пилоростеноза обязательно насторожат и станут поводом для визита к врачу
При своевременном обращении за медицинской помощью будут предотвращены любые опасные последствия патологии.
Прогноз
Пилороспазм с возрастом, по мере того как совершенствуется нервная система, срыгивания урежаются, рвота исчезает к 5-6 месяцам. Рвота у некоторых детей может возобновиться при повышении температуры, простудном заболевании или после конфликтной ситуации.
Пилоростеноз можно вылечить хирургическим путем. Пилоромиотомия показывает хорошие отдаленные результаты: дети хорошо развиваются, а рентгенологический контроль констатирует нормальную функцию желудка и хорошее его опорожнение. Рецидивов после операции не отмечается. Летальность при правильном хирургическом лечении минимальна — наблюдается только среди больных, которые поздно оперируются и их смерть связана с истощением и сопутствующими ему осложнениями.
Самые распространенные симптомы ОРВИ у детей
Обычно острые респираторные вирусные инфекции проявляются следующими клиническими признаками:
- Повышение температуры тела. У ребенка появляется жар, температура поднимается до 38°С, а при гриппе она может подняться еще выше. Повышенная температура в среднем держится три-четыре дня, если заболевание протекает без осложнений. Также встречается ОРВИ без температуры.
- Общее недомогание. У малыша меняется поведение, он чаще капризничает, становится вялым, хуже ест и отказывается от игр, плохо спит. Дети также могут жаловаться на боли в мышцах, головную боль. Все эти признаки указывают на интоксикацию человеческого организма продуктами жизнедеятельности патогенных микроорганизмов.
- Насморк. При простуде и гриппе ребенка беспокоят обильные выделения из носа, его заложенность и затруднение дыхания. При насморке также нередко наблюдаются слезоточивость и покраснение глаз.
- Боли в горле. Начинающаяся простуда чаще всего дает о себе знать покраснением задней стенки глотки и мягкого неба. При этом острая боль может беспокоить ребенка только в первые дни заболевания или же до полного выздоровления.
Также при ОРВИ у детей может наблюдаться кашель, расстройство желудка и другие нарушения пищеварения, увеличение лимфатических узлов и редкое мочеиспускание, что происходит, когда больной ребенок отказывается не только от еды, но и от питья.

Операции при пилоростенозе
Лапароскопия — основной метод лечения в детском возрасте, который представляет собой рассечение пилорических мышц. Это — минимально инвазивная операция, при которой через небольшой разрез в брюшную полость ребенка вводится камера, а затем инструмент, разрезающий внешние слои пилорических мышц.
В результате суженая область расширяется, и пища может беспрепятственно попадать в кишечник. Эта процедура выполняется очень быстро после постановки диагноза, иногда даже в тот же день. Результаты лечения с помощью этой процедуры очень успешны. Процедура сопряжена с низким риском осложнений, наиболее распространенными из которых являются кровотечение и инфекция. Рвота обычно прекращается в течение нескольких дней, а затем ребенок начинает есть больше еды, чтобы «наверстать упущенное». Большинство младенцев возвращаются домой через 48 часов после операции, а период восстановления составляет одну неделю.
Симптомы болезни
Врождённое или приобретённое сужение привратника желудка, называемое пилоростенозом, чаще обнаруживается у детей. Симптомы являются следствием того, что желудок не опорожняется, то есть его состав не двигается дальше по пищеварительному тракту.
Недуг проявляется у детей следующим образом:
- возникают учащённые срыгивания, рвота;
- живот западает в области желудка;
- снижается вес;
- нарастает обезвоживание;
- учащаются запоры;
- редко выделяется моча.
Диагностика пилоростеноза у новорождённых в Израиле включает несколько обследований:
- осмотр для выявления перистальтики желудка, характерной для данного заболевания;
- рентгенологическое исследование с контрастной взвесью;
- лабораторные анализы крови.
В случаях приобретённого заболевания у взрослых в клинике «Ихилов» проводится фиброгастроскопиия и УЗИ пилоростеноза. В Израиле медики проводят диагностику, оперативные вмешательства и послеоперационную терапию, используя новейшие методики и современное оборудование. Лечение пилоростеноза в Израиле проводится хирургическим путём.
Методы лечения
Врожденный пилоростеноз у детей лечится только с помощью хирургии. При пилоротомии (рассечении увеличенных мышц привратника) восстанавливается проходимость сфинктера, и пища без труда проходит в двенадцатиперстную кишку.
Сколько будет длиться предоперационная подготовка зависит от степени тяжести пациента: чаще всего это 2-4 суток. Перед вмешательством врачам нужно:
- Скорректировать водно-электролитный баланс, восполнить потерю жидкости и ионов.
- Добавить парентеральное питание (внутривенное введение витаминов, глюкозы и др. необходимых веществ).
- Начать лечение аспирационной пневмонии (если она развилась).
- Обеспечить дополнительную терапию других болезней и аномалий (если они есть).
Пилоростеноз не лечится травами, заговорами и другими методами народной медицины. Если откладывать визит к врачу, возможен летальный исход от обезвоживания.
Причины и факторы риска развития избыточного бактериального роста в тонком кишечнике
| Аномалии строения |
|
| Нарушения моторики |
|
| Синдром раздраженного кишечника | |
| Метаболические нарушения | |
| Возраст | |
| Заболевания |
|
| Лекарственные препараты |
|
Основные причины одышки при заболеваниях легких
- Нарушения вентиляции легких. Основные причины: астма, эмфизема, хронический бронхит, бронхоэктазы.
- Уменьшение объема движений стенок грудной клетки. Причины: кифосколиоз.
- Ослабление дыхательной мускулатуры. Причины: синдром Гийена-Барре, миастения. Вызывают увеличение дыхательных усилий.
- Скопление экссудативной жидкости в плевральной полости. Вызывает одышку за счет усиления дыхательной работы и стимуляции легочных рецепторов при ателектазе паренхимы легкого.
- Нарушения газообмена. Сопровождают пневмонию, отек легких, удушье (аспирационная пневмония и острый респираторный дистресс-синдром).
- Повышение дыхательной активности с последствием в виде гипервентиляции. Возникает при острой гипоксемии и гиперкапнии из-за стимуляции легочных рецепторов в случае легочной эмболии, интерстициального отека легких, острого бронхиального спазма и т.д.
Компенсация гипоксемии в случае заболеваний легочных сосудов, интерстициальных заболеваний легких или застоя в легочном кровообращении не снижает одышку, поскольку является следствием прямой стимуляции легочных рецепторов.
Все патологии дыхательной системы, сопровождающиеся одышкой:
- астма;
- пневмония;
- бронхит;
- бронхиолит;
- ларингит;
- трахеит;
- аллергический ринит;
- ХОБЛ — хроническая обструктивная болезнь легких;
- тромбоэмболия легочной артерии — сгусток крови в легочной артерии;
- интерстициальная болезнь легких;
- отравление угарным или углекислым газом;
- пневмоторакс — коллапс легких;
- муковисцидоз;
- инфаркт легких;
- обструкция верхних дыхательных путей;
- дыхательная недостаточность;
- плеврит — воспаление оболочки, окружающей легкие;
- отек легких — избыток жидкости в легких;
- легочная артериальная гипертензия — высокое кровяное давление в кровеносных сосудах легких;
- саркоидоз — гранулематозное заболевание, поражающее в основном легкие;
- туберкулез;
- рак легких;
- рак гортани;
- эмфизема легких;
- респираторная аллергия;
- асбестоз;
- СОАС — синдром абструктивного апноэ во сне;
- бронхоэктазы.
Особенности пилоростеноза у детей
Врожденный стеноз привратника ребенка — заболевание, часто приводящее к полной непроходимости ЖКТ. Частота заболевания оценивается в 1 : 300–1 : 900 случаях у новорожденных. К характерным симптомам пилоростеноза относится рвота, которая возникает во время или сразу после еды. В возвращенном содержимом никогда не обнаруживается желчи. При пальпации через брюшную стенку иногда можно обнаружить опухоль в пилорической проекции — оливковый симптом.
Важным моментом в педиатрии есть отличие пилоростеноза от пилороспазма. При пилороспазме наблюдается срыгивание пищи младенцем, что обусловлено нарушением работы ЦНС. Причиной может стать высокое внутричерепное давление, повышенная возбудимость и другие факторы. Но при этой патологии ребенок все же прибавляет в весе, а объем пищи при срыгивании меньше потребленного количества еды. Детский гастроэнтеролог должен различать эти два состояния.
Прогноз
При таком диагнозе лечение должно быть своевременное. Можно обратиться за медицинской помощью с опозданием, когда уже начнутся осложнения. Например, рвотные массы могут попасть в лёгкие – у малыша начнётся пневмония. Из – за длительного нахождения пищи в желудке слизистая этого органа может пострадать, она начнёт покрываться язвочками.
Вместе с обезвоживанием начинается нарушение электролитного баланса, возможно заражение крови в тяжёлых случаях. Клиника таких осложнений видна сразу. Лицо малыша измучено, имеет заострённые черты, «голодный» взгляд.
Своевременная операция не оставляет никаких негативных осложнений. Последствия и прогнозы самые благоприятные. Отзывы о хирургическом вмешательстве при такой патологии от родителей самые положительные.
Дифференциальная диагностика
Дифференциальный диагноз пилоростеноза проводят с пилороспазмом, желудочно-пищеводным рефлюксом, псевдопилоростенозом (сольтеряющая форма адреногенитального синдрома) и высокой непроходимостью двенадцатиперстной кишки.
Дифференциальная диагностика проводится на различии начала и характера проявления болезни.
При адреногенитальном синдроме в рвотных массах будет примесь жёлчи, объём мочеиспускания увеличится, каловые массы будут разжиженными. При проведении дополнительных методов обследования привратник будет хорошо проходим, в лабораторных анализах, в противоположность, будет метаболический алкалоз и гиперкалиемия.
При желудочно-пищеводном рефлюксе заболевание проявляется с первых дней жизни малыша, рвота и срыгивания будут сразу после кормления и при горизонтальном положении ребёнка. При дополнительных исследованиях привратник будет проходим, а на ВЭГДС в пищеводе будет выраженный рефлюкс-эзофагит, вплоть до язв слизистой.
При высокой двенадцатиперстной непроходимости рвоты чаще всего начинаются сразу после рождения ребёнка. При рентгеноконтрасном исследовании будет определяться два уровня жидкости – в желудке и двенадцатиперстной кишке. ВЭГДС точно покажет уровень стенозирования.
Симптомы пилоростеноза
При врожденном характере заболевание обнаруживает себя с середины первого месяца жизни младенца и проявляется:
- обильной рвотой «фонтаном» без примеси желчи, возникающей через четверть часа после кормления. С ростом ребенка этот интервал увеличивается. Рвотные массы имеют характерный кислый запах, а по объемам могут превышать количество съеденного молока;
- истощением и обезвоживанием организма, развивающимися вследствие упорной рвоты;
- недостаточным весом, постоянно уменьшающимся;
- истончением, сухостью и дряблостью кожных покровов;
- запорами;
- скудным и редким мочеиспусканием. Моча имеет яркий цвет и специфичный запах;
- характерным признаком служит сокращение мышечных тканей живота в форме «песочных часов», возникающее при поглаживании кожи в этой области, визуально заметное. Интенсивнее этот признак проявляется, если незадолго ребенок выпил небольшое количество воды.





































