Какие образования скрывают опасность?
Срочного врачебного вмешательства требуют следующие виды новообразований:
- Атерома – схожа с липомой, но в отличие от нее она часто инфицируется и краснеет, также может увеличиваться в размерах. Именно этот момент представляет опасность для здоровья, так как существует опасность образования свища и вытекания гноя в близлежащие ткани.
- Срединная киста – врожденное доброкачественное округлое образование, расположенное на фронтальной части шеи. До определенного момента оно может не беспокоить ребенка, но в 60% случаев воспаляется с образованием свища, доставляя боль и дискомфорт при глотании. Кроме того, киста склонна к перерождению в рак.
- Нейрогенные опухоли – образуются на окончаниях нервных стволов и представляют собой широкий спектр новообразований. Они могут быть безопасны, но встречаются и злокачественные образования. Оставлять их без внимания врача ни в коем случае нельзя.
- Лимфогранулематоз (лимфома Ходжкина) – рак лимфатических узлов. Первый симптом данного онкологического заболевания выражается в увеличении лимфатических узлов, при этом они не болят и медленно увеличиваются.
Отоларинголог делает выводы о безопасности образований только после проведения комплексного обследования. Самостоятельно сделать это невозможно.
Когда пройдут жировики
Милиумы-просянки обычно проходят достаточно быстро, и уже спустя 3 – 8 недель от них не остается даже следа. В отдельных случаях жировики могут сохраняться до года.
Родители должны знать, что делать различные примочки и прижигания нельзя. Обработка жировиков зеленкой, марганцовкой, салициловой или борной кислотой не просто бесполезна, но может нанести вред.
жировики на лице у новорожденного, как правило, никак не влияют на здоровье малыша и не нарушают его привычный режим
Детской коже присуща высокая гидрофильность, поэтому любое водорастворимое вещество всасывается быстро и полностью. Поэтому не стоит заниматься самолечением, это может быть опасно.
Диагностика липом
Липому под кожей легко диагностируют при осмотре и прощупывании.
Липомы внутри организма выявляют с помощью:
- УЗИ
- МРТ
- рентгенографии.
В неясных случаях проводят биопсию, при которой небольшое количество ткани исследуют под микроскопом.
К какому врачу обратиться?
Так как липома может вырасти в любом месте организма, то её диагностируют и лечат врачи разных специальностей. Это зависит от места расположения образования. Липомами на коже занимаются хирург и дерматолог, липомами в области молочной железы – маммолог, липомами мозга или позвоночника – нейрохирург.
В чем отличие атеромы от липомы?
Липома представляет собой образование из жировой ткани, тогда как атерома – это скопление секрета сальной железы из-за закупорки ее протока. Соответственно, атерома не может возникнуть там, где нет сальных желез, т.е. в легких, мозге, брюшной полости, семенном канатике и т.д. Атерома чаще растет на волосистой части головы, имеет тенденцию к воспалению и нагноению, располагается более поверхностно. При воспалении атеромы она увеличивается в размерах, возникает покраснение, чего не бывает при липоме. Для того, чтобы выяснить, что имеется у пациента – атерома или липома – проводят УЗИ.
Какие возможны осложнения при блефарите?
Некоторые родители не придают должного внимания этому недугу. Они считают, что блефарит — это заболевание, которым должен переболеть каждый ребенок. Окулисты уверяют, что это не так. Отсутствие своевременного лечения патологии может привести к тому, что она примет хроническую форму. Из-за этого в области глаз могут проявляться новые воспаления, микротрещины, которые являются причиной попадания инфекций в глазное яблоко. Несоблюдение терапии часто приводит к другим офтальмологическим заболеваниям.
Одним из них является кератит. В детском возрасте он часто требует стационарного лечения. Если симптомы проявляются ярко, но родители не обращают на них внимания, то это чревато формированием язвочек, рубцеванием век, нарушением роста ресниц и их выпадением.
Причины возникновения
Основная причина разрастания жировой ткани кроется в нарушении липидного обмена в организме. Однако у новорожденных жировики могут появиться и из-за других факторов. Например, образование липомы может быть вызвано осложнениями во время беременности, такими как авитаминоз, гормональный сбой или обострение аллергической реакции. Предрасположенность к жировикам может быть наследственной. Причина может иметь и чисто внешние воздействия:
- неправильная гигиена кожи малыша,
- использование синтетических пеленок и одежды.
Кроме того, новообразования на коже могут зависеть от индивидуальных особенностей ребенка. Например, чрезмерная чувствительность кожи или незрелость кожных покровов может привести к чрезмерной закупорке пор, а как следствие — к образованию липом. Бытует мнение, что у детей жировики возникают, как реакция на изменение окружающей среды, особенно в эмоциональном плане.
Каша Nutrilak гречневая безмолочная
Мамы нередко сомневаются, какая каша полезнее ребенку: та, которую они приготовили сами или растворимая каша из пачки – промышленного производства.
Домашняя каша хороша тем, что всегда известно, из чего и как она приготовлена. При этом на глаз невозможно определить, достаточно ли в готовом блюде полезных питательных веществ для малыша. К тому же нужно сильно постараться, чтобы сделать кашу однородной, без комков, не слишком густой и не слишком жидкой.
Кашам промышленного производства некоторые мамы не доверяют из-за того, что многие подобные детские продукты делают из обработанного зерна, в котором уже не остаётся полезных пищевых волокон, витаминов и минералов, а кроме того, в них добавляют сахар.
К сожалению, действительно на полках магазина можно встретить и каши с добавлением сахара, и каши-пустышки, приготовленные из крахмалистой сердцевины зерна. Но есть и другие. Так, каши Nutrilak Procereals сделаны из цельнозерновой муки, то есть сохранили природную пользу цельного зерна, а добавленного сахара в них нет, как нет и других вредных искусственных добавок.
Для каждого этапа введения прикорма в линейке каш Nutrilak Procereals можно найти подходящий продукт, а идеальной для первого прикорма станет Каша Nutrilak гречневая безмолочная. Разведите её водой, грудным молоком или смесью по инструкции и получите вкусное, полезное и безопасное для ребенка блюдо без лишних затрат сил и времени.
Выводы:
- Для первого прикорма подойдут безмолочные, безглютеновые однокомпонентные каши, а именно гречневая, рисовая и кукурузная.
- Кашу можно вводить в прикорм с 4-6 месяцев.
- Безупречный выбор для первого прикорма низкоаллергенная цельнозерновая каша без сахара Nutrilak гречневая безмолочная.
(
оценок; рейтинг статьи )
Профилактические меры после операции
Существует несколько простых правил, которые необходимо соблюдать:
Не рекомендовано первые дни после операции мочить шов. Сначала надо каждый день менять ребенку повязку. Применять следует только новый бинт, марлевые салфетки и вату. После операции желательно использовать аптечные антисептики. Если повязка прилипла к ранке, нужно применять перекись водорода, а также физиологический раствор. После проведения операции рекомендуется использовать мазь «Контрактубекс»
Это поможет избежать образования грубого рубца, тем более это важно для малыша. Нельзя поднимать тяжести на протяжении целого месяца
Как удалить жировик
Удаление может потребоваться при воспалении или значительном увеличении размеров образования. От подобных высыпаний лучше также избавиться в случае их расположения в области век или под глазами, поскольку они мешают моргать и нарушают зрительную функцию.
Единичные жировики устраняются механическим методом с помощью прокола и аспирации содержимого. Если миллиумов много, используется лазерный, радиоволновой метод или электрокоагуляция. Операции абсолютно бескровны и практически безболезненны.
Таким образом, жировики на лице новорожденного не представляют опасности и не требуют лечения. При хорошем уходе и питании они проходят сами через несколько недель или месяцев. Если просянки каким-то образом беспокоят малыша, растут или воспаляются, то врач посоветует наиболее щадящий метод удаления.
Как избавиться от липомы при помощи медикаментов?
Для консервативного лечения милиумов и липом используются препараты местного действия. Детям можно использовать «Ихтиоловую мазь» или «Мазь Вишневского».
Они предупреждают воспаление и инфицирование образований, вытягивают гной и способствуют восстановлению эпителиального слоя и заживлению ран. Применяются препараты по следующей схеме:
- нанести небольшое количество мази на жировик и накрыть ватным диском, оставив на ночь (повторять процедуру в течение трех суток);
- два дня — перерыв;
- снова повторять процедуру еще три дня.
В некоторых случаях, чтобы избавиться от проблемы, врач может предложить ввести лекарство непосредственно в опухоль. Делается это при помощи тонкой иглы. У данного метода есть свои плюсы и недостатки. К плюсам можно отнести отсутствие шрамов и рубцов после рассасывания липомы, что особенно актуально при лечении образований, которые находятся на лице. Среди минусов специалисты выделяют следующие:
- недостаточно высокая эффективность (около 25% липом рецидивируют после такого лечения);
- длительность наступления терапевтического результата (более 2 месяцев);
- невозможность использования при опухолях больше 2 см.
Важно! Лечение обязательно нужно сочетать с диетой. Из рациона ребенка необходимо исключить острую и жареную пищу, любую консервацию, маринады, соусы (исключение — томатные соусы и заливки)
Сдобная выпечка должна употреблять в ограниченных количествах не чаще 1 раза в неделю.
Хирургическое лечение липомы
Использование хирургических методов оправдано в том случае, если липома имеет большие размеры или стремительно растет.
Риск увеличивается, если опухоль находится на шее, так как она может перекрыть важные кровеносные сосуды.
Такая же ситуация с жировиками, расположенными в ушах: если жировик начнет расти, он может перекрыть часть слухового канала и снизить остроту слуха.
В некоторых случаях изменения могут носить необратимый характер, поэтому родителям не стоит отказываться от предложенного хирургического лечения при наличии подобных показаний.
Существует несколько методов радикальной терапии, которые помогут убрать жировики в детском возрасте.
Лазерное иссечение.
Специальным лазерным ножом липому и ее капсулу иссекают из соединительной ткани. Операция может проводиться под общим наркозом или местным обезболиванием. Детям до 10 лет использование метода рекомендовано только при наличии серьезных показаний. Некоторые клиники не проводят данную операцию подросткам, не достигшим четырнадцатилетнего возраста.
Электротермокоагуляция.
Это прижигание опухоли электрическим током. Данный метод лечения считается эффективным только при небольших липомах, так как не всегда есть возможность контролировать полное удаление опухоли. Если патологические ткани не будут иссечены полностью, вероятность рецидива будет составлять около 38-40%.
Метод аспирации.
В образование вводится специальная игла с тонкой трубкой, через которую врач откачивает содержимое капсулы. Метод также недостаточно эффективен, так как остается риск повторного заполнения капсулы.
Важно! Хирургическое лечение липомы в детском возрасте применяется только при отсутствии эффекта от консервативной терапии или при наличии серьезных показаний. Во всех остальных случаях бороться с милиумами (если в этом есть необходимость) специалисты советуют медикаментозными способами
Как предотвратить появление
Предотвратить липому у детей, как впрочем, и у взрослых, практически невозможно. Но можно постараться снизить факторы риска, если будущая мама будет выполнять несколько несложных правил:
- питаться здоровой нежирной пищей;
- включать в рацион фрукты и овощи;
- не употреблять алкоголь;
- следить за гигиеной;
- беречь себя от вирусных заболеваний до и во время беременности;
- стоять на учете у гинеколога, выполнять его рекомендации и проводить необходимые исследования;
- извещать лечащего доктора об изменениях в самочувствии.
Правильный уход за новорожденным и его вскармливание также играют немаловажную роль в здоровье и развитии малыша. Статья проверена редакцией
Как избавиться от липомы при помощи медикаментов?
Для консервативного лечения милиумов и липом используются препараты местного действия. Детям можно использовать «Ихтиоловую мазь» или «Мазь Вишневского».
Они предупреждают воспаление и инфицирование образований, вытягивают гной и способствуют восстановлению эпителиального слоя и заживлению ран. Применяются препараты по следующей схеме:
- нанести небольшое количество мази на жировик и накрыть ватным диском, оставив на ночь (повторять процедуру в течение трех суток);
- два дня — перерыв;
- снова повторять процедуру еще три дня.
В некоторых случаях, чтобы избавиться от проблемы, врач может предложить ввести лекарство непосредственно в опухоль. Делается это при помощи тонкой иглы. У данного метода есть свои плюсы и недостатки. К плюсам можно отнести отсутствие шрамов и рубцов после рассасывания липомы, что особенно актуально при лечении образований, которые находятся на лице. Среди минусов специалисты выделяют следующие:
- недостаточно высокая эффективность (около 25% липом рецидивируют после такого лечения);
- длительность наступления терапевтического результата (более 2 месяцев);
- невозможность использования при опухолях больше 2 см.
Важно! Лечение обязательно нужно сочетать с диетой. Из рациона ребенка необходимо исключить острую и жареную пищу, любую консервацию, маринады, соусы (исключение — томатные соусы и заливки)
Сдобная выпечка должна употреблять в ограниченных количествах не чаще 1 раза в неделю.
Диагностика и лечение
План диагностических мероприятий при подозрении на липомы у грудничка включает визуальный осмотр кожных покровов, а также их пальпацию. Диагностикой и лечением жировиков занимается специалист дерматолог и хирург (при необходимости).

Консервативные способы лечения жировиков у детей грудного возраста включают прокол новообразований стерильным инструментом с последующим введением лекарственного препарата в образовавшуюся полость. Хирургическое вмешательство выполняется только у детей старше 5 лет. В современной медицинской практике для лечения липомы у новорожденных детей используются такие методики:
- Аспирационно-пункционный метод. В ходе данной манипуляции осуществляется прокол доброкачественного новообразования с последующим вакуумным удалением содержимого жировика.
- Лазерная методика. Этот универсальный способ лечения заболеваний кожи предусматривает точечное воздействие на единичные или множественные липомы без затрагивания окружающих здоровых тканей. Лазерный метод является безболезненным.
- Медикаментозная терапия. Этот длительный способ воздействия на жировые новообразования используется в редких случаях. Он заключается во введении рассасывающих лекарственных средств непосредственно в сам жировик.
При своевременном посещении лечащего детского врача, а также при соблюдении гигиенических правил по уходу за кожей новорожденного, грудничок подвергается минимальному риску возникновения липом.

Существует перечень прямых показаний, которые указывают на срочную необходимость оперативного удаления жировика на теле ребенка. К таким показаниям относят:
- Признаки кровоточивости или нагноения липомы;
- Ускоренный рост новообразования, превышающий 5 мм в диаметре за 3 месяца;
- Образование крупного жировика, локализующегося на лице ребёнка или шее.
Характер обезболивания при выполнении оперативного вмешательства напрямую зависит от размера жировика, а также от места его локализации. С одинаковой частотой применяется как общий наркоз, так и местное обезболивание. Если на лице у новорожденного просматриваются множественные мелкие жировики белого цвета, то у родителей не должно возникать чувство тревоги. Когда малышу исполнится 3-4 месяца, эти новообразования самостоятельно исчезнут без постороннего вмешательства.
В домашних условиях категорически запрещено использовать спиртовые растворы, перекись водорода, раствор бриллиантовой зелени, йод и другие антисептические средства для обработки жировиков на коже младенца. Применение спиртосодержащих лекарственных средств способно вызвать ожог кожных покровов у грудничка.
Подписывайтесь на нашу группу Вконтакте
Почему возникают липомы
На сегодняшний день ученым не удалось прийти к единому мнению о том, по какой причине развиваются липомы и почему чаще встречаются множественные липомы, а не одиночные образования. Липоматоз никак не связан с весовой категорией пациента и с количеством подкожного жира в его организме, поскольку образования могут появляться даже у очень стройных людей.
По мнению исследователей, появление жировиков связано с генетической предрасположенностью. Также его могут спровоцировать нарушение обменных процессов в организме, гормональный сбой, заболевания щитовидной железы. Некоторые ученые убеждены, что жировики возникают из-за сбоев в работе желчного пузыря и печени, а также в связи с зашлакованностью организма.
ДОБРОКАЧЕСТВЕННЫЕ ОПУХОЛИ КРОВЕНОСНЫХ И ЛИМФАТИЧЕСКИХ СОСУДОВ
Эти поражения включают в себя различные процессы, значительное число из них рассматриваются в дерматологии. Часть из них относится к порокам развития сосудистой системы опухолевидного характера, часть к истинным опухолям.
Доброкачественная гемангиоэндотелиома
Врожденная патология, встречается у новорожденных и грудных детей, чаще у девочек, с локализацией в области головы.
Капиллярная гемангиома
После липомы наиболее частая опухоль мягких тканей, часто бывает множественной, максимальной величины достигает к 6 месячному возрасту, при множественном поражении возможны локализации во внутренних органах
Кавернозная гемангиома
Образование, состоящее из причудливых полостей типа синусоид различной величины. Локализуется в коже, мышцах, внутренних органах. Имеет доброкачественное течение.
Старческая гемангиома
Истинная опухоль, характеризуется пролиферацией капилляров с последующей их кавернизацией с вторичными изменениями.
Гемангиома
Зрелая доброкачественная опухоль сосудистого происхождения, встречается часто. Поражает чаще людей среднего возраста, локализуется на слизистой оболочке носа, губы, на коже лица, конечностей, в молочной железе. Представляет собой четко отграниченный узел серовато-розового цвета 2—3 см. Опухоль нередко может озлокачествляться и перейти в ангиосаркому.
Гломангиома (гломусная опухоль, опухоль Барре—Массона)
Встречается в виде изолированной опухоли или в виде множественной диссеминированной семейной гломусангиомы. Опухоль доброкачественная, встречается у пожилых людей, в кистях и стопах, чаще в зоне ногтевого ложа. Может поражать кожу голени, бедра, лица, туловища. В единичных наблюдениях отмечена в почках, влагалище, костях. При локализации в коже опухоль резко болезненная. Не рецидивирует и не метастазирует.
Гемангиоперицитома
Встречается редко, может возникнуть в любом возрасте. Локализуется в коже, реже в толще мягких тканей. Имеет вид отграниченного плотного узла красного цвета. Опухоль может озлокачествляться — давая рецидивы и метастазы, считается потенциально злокачественным процессом. Озлокачествление до 20% случаев описано у взрослых. Процесс у детей имеет доброкачественный характер.
Лимфангиома
Наблюдается чаще у детей как порок развития лимфатических сосудов, однако может встречаться в любом возрасте. Чаще локализуется на шее, слизистой полости рта.
Методы избавления жировиков у новорожденных
Большинство хирургов склонны к мнению, что жировики у детей не стоит лечить или удалять до достижения 6-7-летнего возраста. Удаление любым методом сопровождается применением анестетиков, которые пагубно влияют на детский организм. Поэтому рекомендуют наблюдать за наростом без принятия каких-либо мер борьбы с ним.
Что делать с образованиями? По достижении маленьким пациентом возраста, при котором ему можно производить процедуры по удалению жировик на шее, применяют один из способов лечения:
- Лазерная терапия является одним из самых распространенных методов удаления липомы на теле. Бескровная процедура связана со свойством лазера прижигать мелкие кровеносные сосуды одновременно с рассечением кожных покровов. Точность луча способствует не затрагиванию окружающей здоровой ткани. Поле операции обеззараживается лучом, что снижает риск инфицирования раны. След после иссечения остается аккуратным, без грубых рубцов. Сама же процедура занимает не более получаса.
- Радиоволновое иссечение также эффективно для жировиков размером не более 5-6 см. Операция проводится с помощью радионожа под местной анестезией. Процедура проходит быстро, без крови и не оставляет заметных послеоперационных следов. Этот метод считается самым нетравматичным способом иссечения доброкачественных новообразований. Противопоказанием является наличие у пациента имплантатов и сахарного диабета.
- К традиционному хирургическому методу удаления такой патологии, как липома у ребенка, прибегают при больших размерах новообразования. Операцию могут проводить, как под местной анестезией, так и при общей. Это будет зависеть от объема опухоли и возраста маленького пациента.
Что такое жировик?
Жировики – доброкачественные уплотнения, которые возникают из жировой ткани и покрыты фиброзной оболочкой. Они могут быть как врожденные, так и приобретенные, развиваются в подкожном слое. При отсутствии иммунитета могут проникать и в пространство между мышцами, а также поражать кости.
В большинстве случаев жировик развивается у девочек. Он может появиться на любом участке тела, в том числе и на лице. Липома не может преобразовываться в злокачественную опухоль, но она способна приводить к появлению других проблем. Уплотнение может быть просто визуально некрасивым, что способно стать причиной подшучиваний со стороны сверстников.

Симптомы и признаки липом
Липомы растут очень медленно и обычно не вызывают никаких симптомов, кроме уплотнения в виде “шишки” или “шарика” под кожей. Внутренние липомы также обычно ничем себя не проявляют, т.е. бессимптомны.
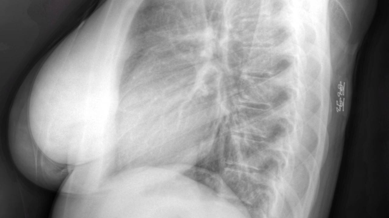
Липома молочной железы
Липома в молочной железе обычно возникает у женщин после наступления менопаузы. Как правило, это образование размером до 1 см, весом до нескольких граммов. Липому молочной железы размером более 5 см и весом более 500 г называют гигантской.
Основные признаки липомы молочной железы:
- безболезненность
- мягкость на ощупь
- возможность смещения под кожей. Т.е. она не спаяна плотно с окружающими тканями и не изменяет внешний вид кожи над ней.
Так как липомы часто располагаются в толще железы и не имеют никаких симптомов, то их нередко обнаруживают случайно, во время плановой маммографии или УЗИ.
Липома молочной железы не повышает риск рака молочной железы и очень редко трансформируется в злокачественную опухоль.
Липома молочной железы. Фото: Nevit Dilmen / (Creative Commons Attribution-Share Alike 3.0 Unported license)
Липома головного и спинного мозга
Липомы головного мозга также выявляют случайно, когда у пациентов старшей возрастной группы проводят МРТ или КТ мозга по каким-то другим причинам, например, при нарушении когнитивных функций, эпилепсии. Липомы могут быть обнаружены в любом отделе мозга, тем не менее 50% – это перикалозальные липомы, в свою очередь 45% которых ассоциированы с агенезией мозолистого тела. 25% составляют липомы квадригименальной цистерны и 15% – липомы супраселлярной цистерны. Так как липомы мозга не имеют симптомов, хоть и часто сочетаются с какими-то пороками, например, агенезией мозолистого тела, то и лечения они не требуют. Хирургическое лечение сопряжено с большим риском осложнений и не имеет никаких преимуществ. Если возникают гидроцефалия или судорожный синдром, то лечение проводят по общим правилам.
Липома мозолистого тела головного мозга. Фото: Journal of neurosciences in rural practice / Open-i (Attribution-NonCommercial-ShareAlike 3.0 Unported)
Липома у детей
Липомы позвоночника составляют 35% всех новообразований спинного мозга, чаще встречаются у девочек.
Липома спинного мозга подразделяется на несколько клинических вариантов:
- липомиеломенингоцеле. Это врожденная патология, при которой жировые образования расположены вдоль позвоночника и проникают внутрь спинномозгового канала, соединяясь со спинным мозгом. Эта липома внешне выглядит как объемное образование внизу позвоночника. У ⅓ пациентов образование проявляет себя нарушениями мочеиспускания. Реже пациентов беспокоит искривление стоп, боль в спине. Лечение хирургическое.
- липома терминальной нити, при которой жировая ткань расположена в конечной нити спинного мозга. Иногда это состояние рассматривают как синдром натяжения концевой нити. Это редкое заболевание, которое эффективно лечат хирургической операцией, менее опасной, чем в предыдущем случае.
- липома спинного мозга (интрадуральная) встречается редко и составляет 4% от всех липом. Чаще ее выявляют в грудном отделе позвоночника у детей, патологии костей или кожи при ней не бывает. Если вырастает до больших размеров, то проявляет себя симптомами сдавления спинного мозга. Это одно из самых малоизученных новообразований.
Липома у взрослых
Кроме обычных подкожных липом, в зрелом возрасте могут быть:
- Эпидуральный липоматоз, который возникает при избыточном синтезе жира в эпидуральном пространстве, то есть между позвонками и твердой оболочкой спинного мозга. Это нередкое осложнение при синдроме Кушинга, тяжелом ожирении, приеме глюкокортикостероидов. Дебютирует патология синдромом “конского хвоста”, лечат его отменой стероидов или снижением веса.
- Ангиомиолипома, состоящая из аномально разросшихся сосудов и жировой ткани. Чаще всего ее обнаруживают в поясничном или грудном отделах позвоночника. Как правило, возникает в теле одного позвонка и может проявляться болью в спине, так как уменьшает высоту позвонка и приводит к сдавливанию нервных корешков. Образование обычно выявляют случайно у людей в возрасте 30-40 лет. При сильной компрессии, т.е. при сдавливании нервных структур, проводят лечение – пункционную вертебропластику (“цементирование” позвонка). Иногда ангиомиолипому обнаруживают в почке. При небольших размерах (до 1,0-1,5 см) лечения не требует, за образованием наблюдают, периодически выполняя ультразвуковое исследование.
Очень важно!
Жировики на лице ребенка нельзя выдавливать, потому что это увеличивает риск инфицирования и появления гноя. Эту проблему будет решить уже намного сложнее, и на месте жировика останется глубокий неэстетичный шрам. Не следует наносить на лицо ребенка никакие мази и тем более давать медикаменты без консультации специалиста.
Подводя итоги, можно дать родителям новорожденных следующие рекомендации: никогда не паникуйте, не выдавливайте и не скоблите высыпания на лице ребенка, при возникновении жировиков сразу обращайтесь к педиатру. Соблюдайте профилактику появления высыпаний на коже ребенка и не занимайтесь самолечением.
Профилактические мероприятия
На сегодняшний день нет однозначно эффективных способов предотвращения образования липомы на коже ребенка. Врачи выделили ряд факторов, благодаря которым удастся предотвратить образование жировиков.
Родители должны следить за исполнением простых правил:
В рацион выбирается только нежирная и полностью здоровая пища.
Каждый день следует есть достаточное количество фруктов и овощей.
Полностью отказаться от употребления алкогольных напитков.
Внимательно относиться к соблюдению всех норм и правил личной гигиены.
В период вынашивания плода женщина должна сделать все для того, чтобы предотвратить заражение вирусными болезнями.
В период беременности важно вовремя стать на учет к гинекологу. Он назначит все необходимые анализы и исследования.
Если наблюдается ухудшение самочувствия, то будущая мамочка должна поставить в известность об этом своего врача.. Немаловажное значение имеет правильный уход за крохой
Важно сделать все для того, чтобы иметь возможность кормить его грудью. Благодаря этому малыш будет гарантированно правильно расти и развиваться
Немаловажное значение имеет правильный уход за крохой. Важно сделать все для того, чтобы иметь возможность кормить его грудью
Благодаря этому малыш будет гарантированно правильно расти и развиваться.
Причины проявления
Жировики на лице у новорожденного развиваются под воздействием внутренних и внешних факторов:
- У ребенка есть генетическая предрасположенность к образованию липом.
- В организме матери были выявлены гормональные нарушения, которые через молоко передаются ребенку.
- Нарушения обмена веществ.
- Наблюдается слишком низкая активность образования специальных ферментов. Они продуцируются поджелудочной железой и используются для расщепления жировых клеток.
- У грудничка наблюдается чрезмерная зашлакованность организма.
Врачи убеждены, что жировик на лице чаще всего появляется на фоне наследственной предрасположенности к данной патологии. Именно поэтому следует заранее узнать, не было ли такое проявление у других членов семьи. Липому можно унаследовать не только от папы или мамы. Она вполне могла быть и у других родственников.
Образование не опасно, если полностью отсутствовует сопутствующая симптоматика. Новообразование не чешется или меняет цвет. Липома характеризуется медленным развитием, которое может продолжаться в течение десятков лет. Только в редких случаях белые пятна воспаляются и быстро растут. Родители должны получить консультацию врача в данном вопросе. Он принимает решение о целесообразности проведения удаления.
Профилактика у детей
Профилактику липом у младенца мама может начинать еще в период беременности, выполняя несложные правила:
- наполнять рацион здоровой, нежирной пищей;
- употреблять достаточный объем чистой воды;
- отказаться от вредных привычек;
- кушать сезонные фрукты и овощи;
- тщательно следить за личной гигиеной;
- остерегаться вирусных заболеваний;
- находиться под контролем гинеколога и периодически сдавать необходимые анализы;
- при ухудшении состояния здоровья незамедлительно посещать лечащего доктора.
Рождаясь, грудной ребенок подвергается множеству негативных воздействий, и главная задача любой матери — оберегать его от них. В вопросах грудного вскармливания рекомендуется соблюдать правила гигиены, уход за малышом должен быть максимально щадящим (использование исключительного детского мыла). Любовь и забота уберегут новорожденного от кожных проблем, а родителей — от лишних переживаний и тревог.
Методы лечения
Как избавиться от проблемы? Наиболее действенный метод удаления жировиков – хирургическое вмешательство.
Однако, в некоторых случаях, например, если липома появилась на лице, лучше использовать консервативные терапевтические методы, такие как применение лечебных мазей, соблюдение диеты. Могут помочь и средства народной медицины.
Рекомендации по лечению контактного дерматита у ребенка вы найдете на нашем сайте.
Лечебные мази
Средства местного применения позволяют удалить небольшие образования. Для лечения используют такие препараты, как:
- Видестим – средство, в состав которого входит ретинол, способствующий скорейшему расщеплению жировой ткани. Использование препарата позволяет значительно уменьшить размеры образования;
- Гистан – назначается в тех случаях, когда существует риск развития воспалений;
- мазь Вишневского – нарушает целостность капсулы жировика, позволяет ему вскрыться, после чего происходит постепенная регенерация пораженных тканей.

Наносить средства необходимо тонким слоем на пораженные участки.
Делать это лучше всего утром и вечером.
Мазь Вишневского наносят только на ночь в виде компресса, который оставляют на 4-8 часов.
Соблюдение диеты
При появлении жировиков ребенку рекомендуется придерживаться определенного рациона питания. В частности, необходимо максимально сократить потребление жиров, отказаться от жареных блюд.
В основу рациона должны входить фрукты и овощи, продукты богатые клетчаткой. Клетчатка способствует очищению организма, выведению из него шлаков и токсинов.
Зашлакованность организма считается одной из причин развития липом.
Народные средства
По назначению врача могут применяться и рецепты народной медицины. Народные средства помогают устранить лишь небольшие новообразования. Используют такие средства как:
- Свежий сок алоэ. Им смазывают пораженные участки тела.
- Сок чистотела. Средство наносят точечно на область липом, оставляют на 2 часа, затем смывают проточной водой.

Смешать в равных частях йод и уксус. Полученное средство нанести на жировик.
Необходимо взять ткань, изготовленную из овечьей шерсти, слегка намочить ее, намылить хозяйственным мылом. Приложить к жировику в виде компресса на 1 час.
Причины появления жировиков у ребенка до года
Маленький жировик на голове у новорожденного чаще всего появляется в первые дни жизни, в период адаптации малыша к окружающему миру. Чаще липомы образуются у маленьких мальчиков. Причины этому явлению до конца не изучены, но медики выдвигают на первый план возможные факторы появления:
- неправильное протекание беременности (например, гормональный сбой у мамы, авитаминоз, обострения аллергических реакций), что негативно сказывается на здоровье плода;
- наследственный фактор, т. е. предрасположенность одного из родителей к образованию липом;
- индивидуальные особенности кожи (чрезмерная чувствительность);
- неправильный уход за гигиеной ребенка;
- закупорка сальных желез вследствие незрелости кожных покровов;
- реакция у грудничков на синтетические пеленки, одежду.
Описание
Белый жировик – это небольшая киста сальной железы, внутри которой находится кожное сало и кератин. Такие образования называются милиумы и представляют собой безболезненные уплотнения белого цвета. Их размер колеблется от 0.5 до 3 мм, местом локализации является преимущественно средняя часть лица, скулы и веки.
Белый жировик – это, по сути, результат избыточной функции сальной железы
Милиумы напоминают мелкие белые зерна, похожие на просо, поэтому их еще называют «просянками». У новорожденных детей они чаще обнаруживаются на крыльях носа и вскоре исчезают самопроизвольно без какого-либо лечения.
Жировикам на лице у новорожденного несвойственно воспаление, поскольку у просянки нет естественного выхода на поверхность кожи, и отсутствует контакт с воздухом. Однако в отдельных случаях, например, при нарушении гигиены, внутрь кисты может попадать инфекция. Это приведет к развитию локального воспалительного процесса и образованию гнойника.





































