Формы и степени ПМР у детей
Заболевание может быть первичным и вторичным. Причина ПМР первичного типа – врожденный дефект устья мочеточника либо стенки мочевого пузыря. Вторичное заболевание – это продолжение болезней мочевыводящей системы, например рецидивирующего цистита.
Также болезнь может быть постоянной или транзиторной. Постоянный ПМР присутствует всегда, а транзиторный появляется при других заболеваниях – остром простатите, цистите.
Степени ПМР
| Степень | Описание |
|---|---|
I | Рефлюкс малого объема мочи ограничен тазовым отделом мочеточника, который не расширен. Симптомов нет, риск осложнений минимален. |
II | Заброс мочи по всей протяженности мочеточника, но без его расширения. Моча не доходит до почек и чашечно-лоханочной системы. Ярко выраженных симптомов нет, появляется небольшой риск получения инфекции, рефлюкс быстро прогрессирует. |
III | Моча попадает в почки, но лоханки не расширяются. Почечная функция может быть снижена на 20 %. Мочеточник расширяется, моча застаивается в выделительной системе, что повышает риск инфекционного осложнения. Появляются средне выраженные симптомы. |
IV | Мочеточник существенно расширен, чашечно-лоханочная область деформирована, функция почек снижена на 50 %, вырабатывается меньше мочи. Выражена симптоматика, повышается температура тела, появляются отеки. Если ПМР двухсторонний, могут развиваться угрожающие жизни ребенка состояния. |
V | Сохраняются все признаки предыдущих степеней, почки сильно поражены, их паренхима истончена. Мочеточник приобретает коленообразные изгибы. Нарастают симптомы почечной недостаточности – тошнота, рвота, снижение мочевыделения, кожный зуд. |
Наследственные и приобретенные формы включают много видов
Эти две группы (наследственная и приобретенная), в свою очередь, разделяются на подгруппы в зависимости от того, какие способности были утеряны тромбоцитами, каждая подгруппа внутри себя также оказывается гетерогенной и включает ряд болезней.
Наследственные тромбоцитопатии
Наследственная патология сосудисто-тромбоцитарного гемостаза представляет собой широкий круг болезней и может сопровождаться различными нарушениями функции кровяных пластинок. Классификация тромбоцитопатий по данному признаку весьма сложна и для читателей, далеких от гематологии, вряд ли будет интересна, поэтому, на наш взгляд, достаточно остановиться на нескольких примерах:
- Тромбоцитопатии, обусловленные развернутым снижением агрегационных способностей (тромбоциты в кровотоке частично или полностью утрачивают «навыки» интенсивно склеиваться между собой и создавать конгломераты) при сохранении «реакции освобождения. К такому роду принадлежат дезагрегационные тромбоцитопатии: болезнь Глянцмана (тромбастения) – здесь, возможно, подобные нарушения объясняются несостоятельностью оболочки тромбоцитов (в ней мало гликопротеида), эссенциальная атромбия I типа, прочие формы;
- Парциальные (выпадает не вся функция, а только ее часть) дезагрегационные тромбоцитопатии, для которых характерен парциальный дефект способности кровяных пластинок к склеиванию (изолированные расстройства: коллаген-агрегации, АДФ, тромбин-агрегации), к этим формам можно отнести: аномалию Мея-Хегглина, аномалию Пирсона-Стоба, наследственную афибриногенемию и др.;
- Патология первичного звена свертывающей системы, при которой нарушается дегрануляция (процесс выделения веществ, стимулирующих склеивание тромбоцитов – «реакция освобождения») – аспириноподобный синдром, эссенциальная атромбия II типа и пр.;
- Тромбоцитопатии, связанные с уменьшением адгезивных возможностей тромбоцитов (болезнь Виллебранда, геморрагическая тромбоцитодистрофия Бернара-Сулье);
- Патология первичного звена гемостаза, сопутствующая другим врожденным заболеваниям (сердечные пороки, наследственные системные болезни соединительной ткани, например, синдром Элерса-Данлоса, гликогенозы, рецессивный признак, сцепленный с полом (Х-хромосома) – синдром Висконта-Олдрича);
- Тромбоцитопатии, связанные с недостаточным накоплением гранул и их составляющих (синдром «серых тромбоцитов», синдром Хержманского-Пудлака).
Приобретенные тромбоцитопатии
Среди приобретенных тромбоцитопатий важно выделить наиболее распространенные виды:
- Функциональные расстройства кровяных пластинок, обусловленные опухолевыми болезнями кроветворной ткани: часто при миелопролиферативных заболеваниях (геморрагическая тромбоцитемия, истинная полицитемия или эритремия), парапротеинемиях (макроглобулинемия Вальденстрема, множественная миелома), в том числе, симптоматических, сопутствующих системной патологии соединительной ткани (РА – ревматоидный артрит, СКВ – системная красная волчанка) и циррозу печени;
- Нарушение функциональных способностей тромбоцитов, не связанное с гематологической патологией, а возникающее при острой почечной недостаточности с уремией, многократных переливаниях крови и ее отдельных компонентов, заболеваниях щитовидной железы, поражениях печеночной паренхимы, влиянии лекарств и токсических для организма веществ.
Тромбоцитопатии у детей преимущественно наследственные, правда, приобретенные также не исключаются, хотя и встречаются они в три раза реже, нежели врожденные формы.
Online-консультации врачей
| Консультация гомеопата |
| Консультация диагноста (лабораторная, радиологическая, клиническая диагностика) |
| Консультация аллерголога |
| Консультация косметолога |
| Консультация общих вопросов |
| Консультация иммунолога |
| Консультация радиолога (диагностика МРТ, КТ) |
| Консультация ортопеда-травматолога |
| Консультация хирурга |
| Консультация специалиста по лазерной косметологии |
| Консультация уролога |
| Консультация онколога |
| Консультация специалиста в области лечения стволовыми клетками |
| Консультация гастроэнтеролога детского |
| Консультация маммолога |
Новости медицины
6 простых привычек, чтобы круглый год не болеть простудами: рекомендуют все врачи, 17.03.2021
Морепродукты становятся вредными для здоровья?, 05.01.2021
Digital Pharma Day. Будьте во главе digital-трансформации фармацевтической индустрии, 09.10.2020
В сети EpiLaser самые низкие цены на ЭЛОС эпиляцию в Киеве, 14.09.2020
Новости здравоохранения
Эксперт назвала три отличия простуды от COVID-19, 05.01.2021
В мире более 86 миллионов случаев COVID-19, 05.01.2021
Скорость распространения COVID-19 зависит от климатических условий, 11.06.2020
Исследователи насчитали шесть разновидностей коронавируса, 11.06.2020
Причины
Фактора развития всего два. О них уже было сказано.
- Генетические аномалии. Встречаются в 3-4 раза чаще, если сравнивать их с другими факторами-провокаторами. Наследование патологического процесса происходит напрямую или в качестве дополнительного расстройства при редких мутациях. Присутствует широкая группа специфических синдромов, провоцирующих те или иные дисфункции. Отклонения синтеза факторов свертывания, белков.
- Некоторые заболевания, вызывающие к жизни проявления тромбоцитопатии. Когда форменных клеток достаточно, но они не способны выполнять свои функции — обеспечивать нормальную свертываемость.
Сюда можно отнести такие процессы, как геморрагический васкулит, синдром диссеминированного внутрисосудистого свертывания (ДВС-синдром), меглобластную анемию на фоне недостаточного количества витамина B12 и/или фолиевой кислоты, цирроз печени, почечную недостаточность.
Причины оцениваются в первую же очередь. При обнаружении наследственной формы патологии полного восстановления ждать не приходится. Возможна только симптоматическая коррекция.
Описание
Норметанефрин мочи. Продукты метаболизма гормона норадреналина надпочечников. Повышенная экскреция является признаком катехоламино-секретирующей опухоли. Анализ назначен для диагностики и оценки эффективности терапии феохромоцитомы, нейробластомы, параганглиомы. Он показан для обнаружения новообразований инструментальными методами (ультразвук, МРТ) с высоким кровяным давлением, которое трудно поддается лечению. Исследование подвергается суточной моче, тест проводится ВЭЖХ. Контрольные значения — 105-354 мг / сут. Подготовка окончательных данных занимает до 7 дней.
Симптомы тромбоцитопатий
Клиника приобретенных и наследственных тромбоцитопатий характеризуется кровоточивостью сосудисто-тромбоцитарного (микроциркулярного) типа:
- экхимозы (кровоизлияния в подкожно-жировую клетчатку),
- кровоточивость из слизистых носа, десен, мочеполовых органов.
Геморрагический синдром отличается полиморфизмом, асимметричностью, полихромностью и сочетанным характером (петехии или экхимозы и кровотечения из слизистых), разной степенью выраженности геморрагии в зависимости от воздействия экзогенных тромбоцитарных ингибиторов. Типичны длительные кровотечения при небольших порезах и травмах. В отличие от гемофилии не характерны гемартрозы и мышечные гематомы.
Причины и симптомы
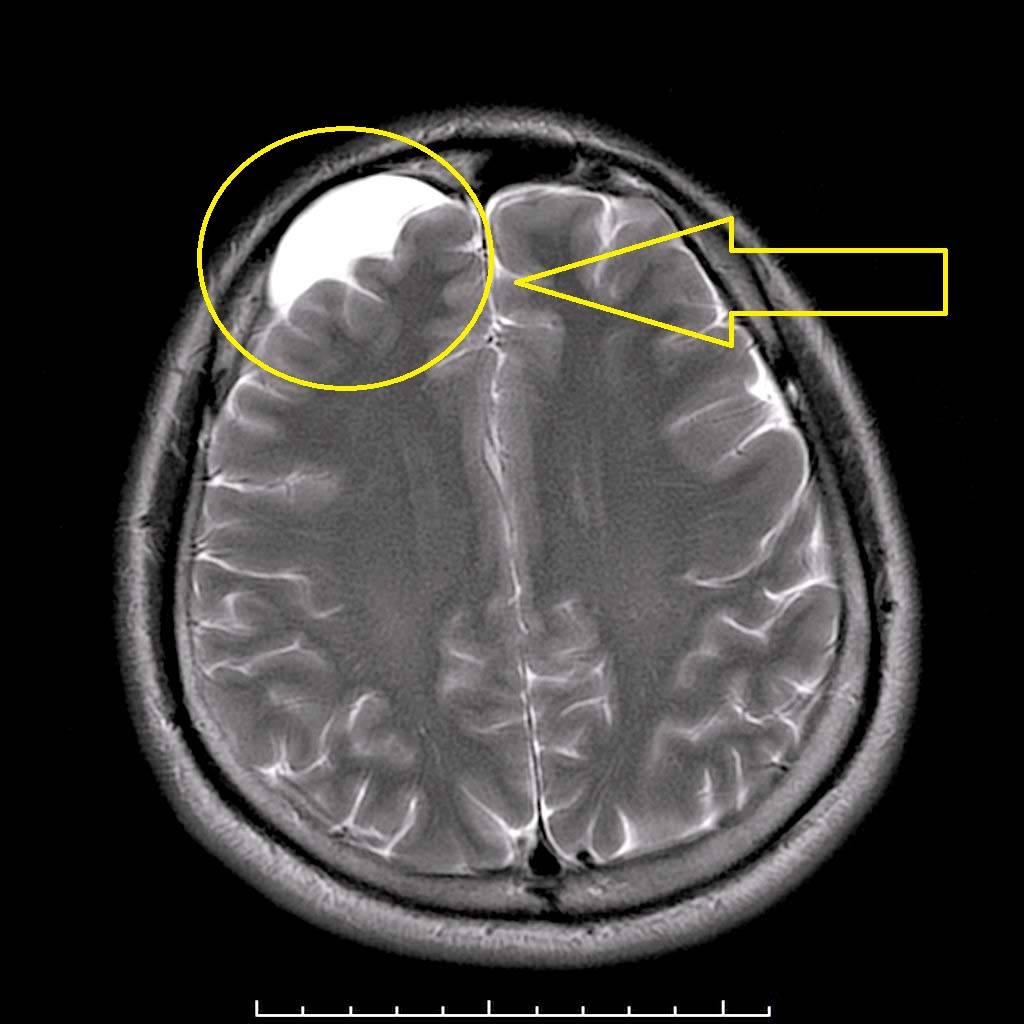
Арахноидальные кисты задней черепной ямки могут быть первичными и вторичными:
Первичные — формируются в период беременности. При воздействии негативных факторов из за которых происходит расстройство развития и может начать формироваться киста задней черепной ямки у плода.
К негативным воздействиям относят:
- наличие вредных привычек у матери;
- прием медикаментов;
- несогласованных с врачом или перебой дозировки;
- облучение;
- травмирование во время родов.
Сразу после рождения могут проявиться симптомы. И киста у новорожденного приводит к серьезным нарушениям: задержке развития, ухудшениям зрительной, слуховой функции.
Симптомы формирования кисты у ребенка:
- Общая слабость в конечностях.
- Набухание родничка.
- Беспокойство, плохой сон, беспричинный плач.
- Отсутствие фокусировки взгляда.
- Срыгивания фонтаном после кормления.
- Судороги.
- Дискоординация.
Вторичные — приобретенная форма является следствием серьезных воспалительных заболеваний головного и спинного мозга, заболевания Марфана. В большей степени диагностируется у взрослых.
Она развивается вследствие:
- ЧМТ;
- менингоэнцефалита;
- церебрального кровоизлияния;
- ишемического инсульта.
Симптомы в первом и во втором случае примерно одинаковы:
- Рост внутричерепного давления.
- Головные боли.
- Тошнота.
- Рвота.
- Хроническая усталость.
- Судороги.
В зависимости от размера симптоматика может нарастать:
- Нарушения координации и равновесия.
- Появление галлюцинаций.
- Ощущение тяжести в голове.
- Ощущение давления на глазные яблоки.
- Нарушения речи.
- Потеря сознания.
Необходимо обратить внимание на то, что перечисленные причины образования кисты задней черепной ямки могут простимулировать рост уже имеющегося новообразования
Выявление патологии.
Основной метод диагностики, который позволяет получить всю необходимую информацию о новообразовании – МРТ. При небольшом размере, отсутствии жалоб со стороны пациента можно не принимать никаких мер.
Обязательным является постоянное отслеживание динамики состояния – при кистозном расширении может понадобиться хирургическое вмешательство.
Применяются:
- Лабораторные исследования крови для определения уровня холестерина и свертываемости крови, определения инфекций и воспалений.
- Доплерография сосудов мозга.
- Компьютерная томография.
- Ангиографическое обследование с применением контрастного вещества. (Метод позволяет с точностью отграничить доброкачественные образования от злокачественных.)
Дополнительно исследуют работу сердца, так как одной из причин нарушения кровообращения в головном мозге могут быть патологии сердечно-сосудистой системы
также важно постоянно осуществлять контроль артериального давления
Методы терапии.
Лечение необходимо не во всех случаях обнаружения кисты зчя, однако когда наблюдается ее быстрый рост и давление на окружающие ткани головного мозга, что приводит к развитию разнообразных нарушений, могут использоваться методы медикаментозного либо хирургического лечения.
При наличии ретроцеребеллярной кисты в задней черепной ямке медикаментозное лечение включает:
- Противовирусные средства.
- Иммуномодуляторы.
- Препараты для рассасывания спаек.
- Медикаменты, направленные на улучшение кровоснабжения.
Для устранения спаек применяется Карипатин. С целью нормализации обменных процессов используют Актовегин.
При нарастающей симптоматике и увеличивающейся в размерах кисте в задней черепной ямке назначают проведение операции.
Наименее рискованным методом лечения является эндоскопия — Это малоинвазивная техника, которая подразумевает создание небольшого отверстия в черепной коробке, через которое удаляют кисту. Метод хороший, однако при труднодоступной локализации опухоли применить его невозможно.
При шунтировании — в кисту вводится специальная трубка, через которую осуществляется отток жидкости в брюшную полость. При использовании данного метода существует вероятность занесения инфекции и засорения шунта.
Трепанация — является наиболее эффективным способом, так как позволяет полностью удалить образование, независимо оттого, в какой области оно локализовано.
Формы
В зависимости от изменений температурных показателей, субфебрилитет классифицируется следующим образом.
Перемежающаяся лихорадка – температура сначала немного понижается, а затем снова повышается, и такое чередование длится на протяжении нескольких дней.
- Ремитирующая – температура в течении суток колеблется больше, чем на 1°C.
- Волнообразная лихорадка – у пациента наблюдается чередование нормальной температуры с постоянным и ремитирующим состоянием.
- Постоянная лихорадка – о ней говорят, когда температура постоянно повышена, и, практически, не изменяется в течении суток.
Есть еще лихорадка неясного происхождения(генеза), причины которой выяснить врачам не удается. В этом случае отмечается повышение температуры до 38°C в период от трех неделях и более при неустановленных причинах.
Лихорадку неясного происхождения(генеза) подразделяют на следующие виды:
- так называемая, лихорадка “классическая” невыясненного генеза – к ней относят все случаи инфекционных болезней, тяжело поддающиеся диагностике, абсолютно непривычные для местности, в которой проживает пациент, или имеют атипичные формы;
- резкое снижение в крови специальных элементов, которые отвечают за иммунитет человека, также может привести к лихорадке неясного генеза;
- лихорадка госпитальная – она возникает у пациента после госпитализации в течении суток;
- цитомегаловирусную инфекцию, гистоплазмоз, микобактериоз относят к ВИЧ-ассоциированной лихорадке.
Диагностика
Диагноз цервикальной дистонии (спастической кривошеи) ставится на основании характерных симптомов данных осмотра и результатов инструментальных исследований.
Врача могут интересовать ответы на следующие вопросы:
- Когда начались симптомы?
- Было ли усиление симптомов в течение времени?
- Что облегчает симптомы?
- Какие лекарства принимает пациент?
- Были ли в прошлом инсульт или травмы головы?
Данные осмотра и истории заболевания помогают поставить предварительный диагноз цервикальной дистонии. Но для точного диагноза необходимо исключить другие состояния, при которых могут быть аналогичные симптомы и использовать дополнительные методы исследования. Тесты могут включать в себя:
- Анализы крови или мочи. Они могут выявить наличие интоксикации.
- Магнитно-резонансная томография (МРТ). Этот вид медицинской визуализации может быть назначен для идентификации и визуализации опухолей или констатации инсульта.
- Электромиография (ЭМГ). Этот метод диагностики позволяет проводимость электрического импульса в мышцах. ЭМГ помогает оценить и диагностировать нарушения проводимости по нервам и мышцам и помогает подтвердить наличие цервикальной дистонии или другого заболевания.
Лечение подагры
Существуют различные средства и методы лечения подагры: немедикаментозное, медикаментозное, хирургическое лечение, физиотерапевтические процедуры, специальная диета при подагре.
Медикаментозное лечение подагры
Для лечения острой формы заболевания могут быть использованы следующие препараты при подагре:
- нестероидные противовоспалительные препараты, такие как диклофенак (один из наиболее популярных препаратов в лечении подагры), ибупрофен, напроксен, нимесилуд, мелоксикам и др.;
- колхицин – очень эффективное средство для лечения подагры, которое следует использовать только в случае острого артрита;
- внутрисуставные инъекции кортикостероидов (при поражении одного сустава);
- средства, снижающие уровень мочевой кислоты в крови: аллопуринол, фебуксостат;
- средства, повышающие выведение мочевой кислоты с мочой (урикозурические препараты): бензобромарон, пробенецид и др.
Физиотерапевтические процедуры
В острой фазе подагры пациентам назначают аппликации димексида.
В хронической фазе используют фонофорез с гидрокортизоном, магнитолазеротерапию, различные виды аппликаций (из парафина, лечебной грязи, озокерита), а также разнообразные бальнеологические ванны (йодо-бромные, радоновые, хлоридно-натриевые, сероводородные). Это улучшает кровоснабжение в суставах, способствует рассасыванию кристаллов мочевой кислоты, снижению воспалительного процесса в суставах.
Хирургическое лечение при подагре
Хирургическое лечение подагры рекомендуется при:
- наличии крупных тофусов;
- появлении незаживающих свищей после вскрытия тофусов;
- изъязвлении тканей.
Диета при подагре
Диета при подагре подразумевает ограничение продуктов с высоким содержанием пуринов (мочевой кислоты), таких как:
- красное мясо (говядина, баранина, свинина);
- птица (курятина, индейка и др.)
- субпродукты (печень, почки);
- морепродукты;
- алкоголь;
- бобовые (горох, фасоль);
Рекомендуется включать в свой рацион фруктовые соки, молочные продукты, овощи (морковь, сельдерей, картофель), фрукты (апельсины, вишня, киви) и хлеб.
В ограниченном количестве можно употреблять кофе, некрепкий чай, сливочное масло, грибы, картофельные клецки, мороженое, рыбу, ветчину, вареные яйца.
Самолечение подагры может привести к опасным последствиям! Обратитесь к профессионалам!
В нашей клинике проводится комплексное обследование и лечение подагры, ревматизма, ревматоидного артрита, полимиозита, остеопороза, артроза, остеоартроза, системной красной волчанки и других ревматологических заболеваний.
Мы знаем, как быстро убрать суставную боль, облегчить ваше состояние и добиться стойкой ремиссии заболевания!
Материал подготовлен при участии специалиста:
Лечение гипертиреоза
Чтобы восстановить нормальную функцию гормонов щитовидной железы у людей с гипертиреозом, необходимо обеспечить им душевное спокойствие, устранить все источники конфликтов и эмоций, создать благоприятные условия окружающей среды.
Медикаментозное лечение включает фармакологические препараты, блокирующие или подавляющие чрезмерное производство гормонов, обусловливающих набор клинических симптомов. Тип медикаментозного лечения гипертиреоза, доза препарата и продолжительность применения определяются и меняются эндокринологом каждый раз после обследования и получения новых результатов анализов.
В некоторых случаях используется изотопное или хирургическое лечение.
Лечение гипертиреоза зависит от:
- причины;
- возраста больного;
- степени тяжести;
- наличия других заболеваний.
Врач подбирает и назначает:
Препараты: бета-блокаторы и тиреостатики, уменьшающие секрецию гормонов. В эту группу препаратов включены тиамазол и пропилтиоурацил. Эти препараты отвечают за ингибирование выработки гормонов щитовидной железы, и их действие проявляется примерно через 2-4 недели использования. Тиростаты облегчают симптомы: дрожание рук или учащенное сердцебиение. Доза препарата определяется врачом индивидуально. Использование тиреостатиков может привести к побочным эффектам в виде: боли в суставах или зуда кожи. В этих случаях следует изменить дозировку или (в некоторых случаях) прекратить прием. Опасное осложнение — агранулоцитоз — уменьшение количества нейтрофилов (тип лейкоцитов) в сыворотке крови из-за обратимого токсического повреждения костного мозга, которое исчезает только после отмены препарата, но требует тщательного медицинского наблюдения. Во время этого осложнения организм теряет устойчивость к инфекции
Внимание! Если у вас повышенная температура, боль в горле или общая слабость, немедленно обратитесь в клинику, чтобы проверить морфологию мазка.
Введение радиоактивного йода. Пероральное лечение радиоактивным йодом вызывает медленное и необратимое разрушение клеток щитовидной железы, которые захватывают сывороточный йод
Для получения результата требуется несколько месяцев лечения. Радиоактивный йод нельзя давать беременным или кормящим грудью женщинам. В течение как минимум полугода после окончания лечения нельзя планировать беременность.
Оперативное лечение. В некоторых случаях нужна операция тиреоидэктомия (струмэктомия, тиреоидэктомия). Показания к операции: рак щитовидной железы, большой зоб, угнетающий щитовидную железу. У этой операции возможны некоторые осложнения: паралич голосовых связок (одной или обе), необратимый гипопаратиреоз.
Врач назначает лекарство
Ответы на популярные вопросы про тонзиллит
1. Какие антибиотики назначают при тонзиллите?
В лечении острого тонзиллита выделяют несколько групп антибиотиков:
- полусинтетические пенициллины
- цефалоспорины
- макролиды
Назначить антибиотики может только врач. Бесконтрольное самостоятельное применение антибиотиков запрещено, так как возможно развитие устойчивости бактерии к антибиотику, что ведет к неэффективности определенного лекарства к бактерии в дальнейшем. При вирусной форме ангины лечение антибиотиком не показано!
2. Можно ли делать прививки при тонзиллите?
В обязательном порядке следует проконсультироваться с лечащим врачом. Прививку можно делать при хроническом тонзиллите, но ТОЛЬКО в ОТСУТСТВИЕ ОБОСТРЕНИЯ.
3. Какой врач лечит тонзиллит?
В современной медицине лечением острого тонзиллита или ангины может заниматься врач-оториноларинголог (ЛОР), врач-инфекционист и терапевт.
4. Можно ли делать ингаляции при тонзиллите?
Применение ингаляции при остром тонзиллите допустимо только после консультации врача! Не при всех формах ангины допустима данная процедура. Показания и противопоказания зависят от формы острого тонзиллита и возбудителя, поэтому дифференциальная диагностика играет ключевую роль. Только врач может назначить лекарство для ингаляции и его правильную дозировку. Также врач поможет подобрать правильный тип небулайзера.
5. Можно ли есть мороженое при тонзиллите?
Для облегчения боли в горле рекомендовано употребление холодных продуктов, в том числе мороженого. Холод обладает местноанестезирующим эффектом, достигаемым за счет воздействия на нервные окончания.
6. Какие анализы назначают при тонзиллите?
- мазок из глотки – с миндалин, дужек, задней стенки глотки на определение возбудителя и устойчивости к антибиотику, в том числе на предмет дифтерии
- экспресс-тест на выявление бета-гемолитического стрептококка группы А
- общий анализ крови
- общий анализ мочи
- СОЭ
7. Может ли тонзиллит возникать только с одной стороны?
В основном тонзиллит протекает с двусторонним поражением миндалин, но бывают исключения. Тонзиллит может протекать не только как самостоятельное заболевание, но и быть проявлением какого-либо другого заболевания. Например, при туляремии или первичном сифилисе тонзиллит проявляется с одной стороны.
8. Как долго лечится тонзиллит?
В среднем лечение может занимать 7 дней. Например, антибактериальная терапия назначается на 5-10 дней. Все зависит от группы антибиотика и наличия осложнений.
9. Можно ли самостоятельно удалять пробки при тонзиллите?
Нет, самостоятельное удаление пробок строго запрещено! Ни ватными палочками, ни зубной щеткой, ни руками. Это связано с опасностью повреждения миндалины и окружающих тканей. Повреждение может спровоцировать распространение инфекции и развитие осложнений.
Причины
Фактора развития всего два. О них уже было сказано.
- Генетические аномалии. Встречаются в 3-4 раза чаще, если сравнивать их с другими факторами-провокаторами. Наследование патологического процесса происходит напрямую или в качестве дополнительного расстройства при редких мутациях. Присутствует широкая группа специфических синдромов, провоцирующих те или иные дисфункции. Отклонения синтеза факторов свертывания, белков.
- Некоторые заболевания, вызывающие к жизни проявления тромбоцитопатии. Когда форменных клеток достаточно, но они не способны выполнять свои функции — обеспечивать нормальную свертываемость.
Сюда можно отнести такие процессы, как геморрагический васкулит, синдром диссеминированного внутрисосудистого свертывания (ДВС-синдром), меглобластную анемию на фоне недостаточного количества витамина B12 и/или фолиевой кислоты, цирроз печени, почечную недостаточность.
Причины оцениваются в первую же очередь. При обнаружении наследственной формы патологии полного восстановления ждать не приходится. Возможна только симптоматическая коррекция.





































